Best Teeth Whitening for a Brighter Smile
Achieving a dazzling, white smile is a common desire, and thankfully, the world of teeth whitening offers a multitude of options. From professional treatments to over-the-counter products, there’s a solution for everyone. This guide delves into the best teeth whitening methods, helping you discover the path to a brighter, more confident smile. We’ll explore professional options, at-home kits, and lifestyle choices that contribute to long-lasting results. Remember to consult with a dental professional before starting any whitening treatment to ensure it’s right for you.
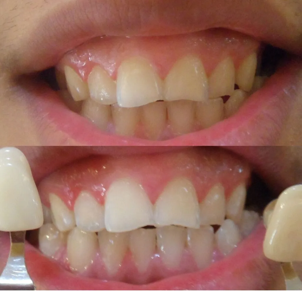
Professional Teeth Whitening Options
Professional teeth whitening, performed by a dentist, offers the most effective and often quickest results. These treatments use stronger bleaching agents than those available over-the-counter, ensuring significant improvements in tooth color. The process typically involves isolating the gums and lips to protect them from the bleaching agent. The dentist then applies the whitening solution to the teeth, often using a special light or laser to enhance the bleaching process. The entire procedure usually takes about an hour, and the results can last for several months or even years, depending on your lifestyle and oral hygiene habits. This method is ideal for individuals seeking dramatic and immediate results.
In-Office Whitening Procedures

In-office whitening offers immediate results and is a popular choice for those seeking a quick transformation. Your dentist will apply a high-concentration bleaching agent to your teeth and may use a special light or laser to accelerate the process. This procedure is generally safe when performed by a trained professional and can lighten your teeth several shades in a single session. The entire process, including preparation and the whitening itself, typically takes about an hour or so, making it convenient for busy individuals. The immediate impact makes it a favorite for special events or when a rapid smile makeover is desired.
Types of In-Office Whitening
There are several types of in-office whitening procedures available. The most common involve the use of a hydrogen peroxide or carbamide peroxide-based bleaching agent. The dentist will carefully apply the agent to your teeth, protecting your gums and soft tissues. Some systems incorporate a special light or laser to activate and enhance the whitening process. The specific type of procedure and the products used will depend on the dentist’s preference and the patient’s needs. Your dentist will assess your teeth and explain the best approach, ensuring the most effective and safest treatment for your specific situation. Regular check-ups are crucial to maintaining the results.
At-Home Teeth Whitening Kits
At-home teeth whitening kits provide a more affordable and convenient alternative to professional treatments. These kits typically contain lower concentrations of bleaching agents, making them safer for unsupervised use. However, they may require more time to achieve noticeable results compared to in-office procedures. At-home kits come in various forms, including trays, strips, and toothpastes. Following the instructions carefully is crucial to avoid any potential side effects, such as tooth sensitivity or gum irritation. Consulting with your dentist before using an at-home kit is always recommended to ensure it’s suitable for your oral health.
Types of At-Home Whitening Kits

The market offers a variety of at-home whitening kits to cater to different preferences and needs. These include custom-fitted trays provided by your dentist, pre-filled trays, whitening strips, and whitening toothpastes. Custom trays, created by your dentist, offer the best fit and can deliver more even results. Pre-filled trays are readily available over-the-counter and offer a convenient option. Whitening strips are easy to use and provide targeted whitening. Whitening toothpastes contain mild abrasives and chemicals to remove surface stains. Each type has its pros and cons, so choosing the right one depends on your specific goals and budget. Always read and follow the instructions on any product you choose.
Whitening Strips
Whitening strips are a popular and easy-to-use method for teeth whitening. These thin, flexible strips are coated with a peroxide-based bleaching agent. You apply the strips directly to your teeth, following the instructions provided by the manufacturer. Strips are generally designed to be worn for a specific amount of time each day, usually 30 minutes to an hour. Results can be seen within a few days, although it may take several weeks to achieve the desired level of whitening. While effective for surface stains, whitening strips may not be as effective for deeper discoloration. Consider the ease of use and cost-effectiveness of this method.
Whitening Toothpastes and Rinses
Whitening toothpastes and mouth rinses offer a gentler approach to teeth whitening, primarily targeting surface stains. They typically contain mild abrasives and chemicals that help remove stains caused by coffee, tea, and other food and drinks. While they may not dramatically change the shade of your teeth, they can help maintain a brighter smile. Whitening toothpastes often contain ingredients like silica or hydrated silica, which help polish the teeth. Whitening rinses, on the other hand, often contain hydrogen peroxide or other bleaching agents. Regular use of these products, along with good oral hygiene habits, can contribute to a whiter smile over time. Remember that the results are typically subtle.
Diet and Lifestyle for Teeth Whitening

Your diet and lifestyle play a significant role in the effectiveness and longevity of your teeth whitening efforts. Certain foods and drinks can stain your teeth, while others can help maintain a bright smile. Avoiding or limiting stain-causing substances, such as coffee, tea, red wine, and dark-colored berries, can help prevent discoloration. Additionally, practicing good oral hygiene, including regular brushing, flossing, and dental check-ups, is essential for keeping your teeth white. Choosing a balanced diet rich in fruits, vegetables, and water also supports overall oral health and contributes to a brighter smile. Consider your daily habits and how they might impact the appearance of your teeth.
Foods and Drinks to Avoid
To maintain a white smile, it’s wise to limit your consumption of foods and drinks known to stain teeth. These include coffee, tea, red wine, and dark-colored sodas. Berries, such as blueberries and blackberries, can also contribute to staining. Foods with strong pigments, such as curries and soy sauce, may also affect tooth color. If you do consume these items, rinse your mouth with water immediately afterward or brush your teeth to minimize staining. Being mindful of what you eat and drink is a key part of maintaining your bright smile after whitening treatments.
Tips for Maintaining a White Smile
Maintaining a white smile requires a combination of good oral hygiene and lifestyle choices. Brush your teeth at least twice a day for two minutes each time, and floss daily to remove plaque and food particles. Use a whitening toothpaste to help remove surface stains. Consider using a straw when drinking staining beverages like coffee or soda to minimize contact with your teeth. Regular dental check-ups and cleanings are essential for removing plaque and tartar, which can contribute to discoloration. Avoid smoking and other tobacco products, as they are major contributors to teeth staining. Following these tips will help you keep your smile bright and healthy.
Additional Factors Affecting Whitening

Several other factors can influence the effectiveness of teeth whitening treatments. The inherent color of your teeth plays a role; some people’s teeth are naturally more yellow than others. Age can also affect tooth color, as enamel thins over time. The type of stains you have matters as well; surface stains are easier to treat than intrinsic stains. Dental restorations, such as fillings and crowns, will not whiten with bleaching agents. Certain medications, such as tetracycline, can also cause tooth discoloration that may be resistant to whitening. Consulting with your dentist will help you understand these factors and choose the most appropriate whitening option.
