Understanding Teeth Whitening in Los Angeles
Teeth whitening has become a popular cosmetic procedure in Los Angeles, as residents seek to enhance their smiles and boost their confidence. The city offers a vast array of options, from professional treatments at dental clinics to convenient at-home kits. However, the cost of these procedures can vary significantly. Understanding the different types of whitening procedures available and the factors that influence the price is crucial for finding cheap teeth whitening options in Los Angeles. This guide provides valuable insights and tips for achieving a brighter smile without breaking the bank, ensuring that everyone in the city can access affordable cosmetic dentistry.
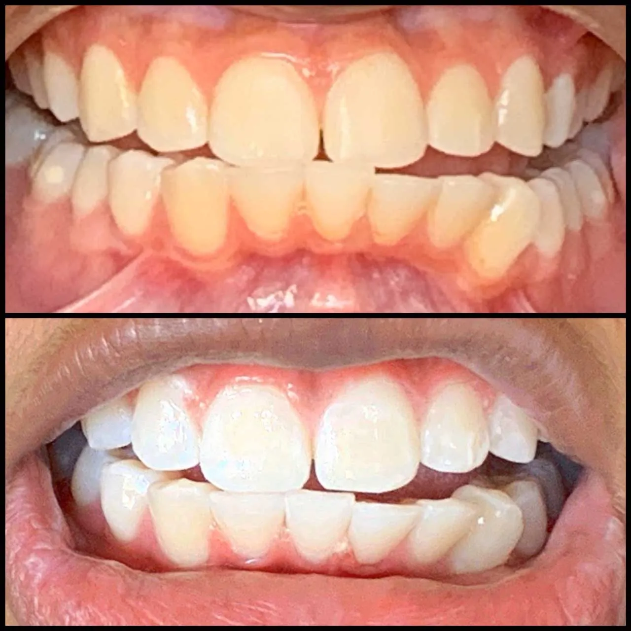
Types of Teeth Whitening Procedures
Several methods are available for teeth whitening, each with its own set of advantages, costs, and effectiveness levels. These methods can generally be divided into two main categories professional treatments and at-home kits. Both options have the same goal providing brighter and whiter teeth, but vary on the methods used.
Professional Teeth Whitening

Professional teeth whitening, typically performed by a dentist or a dental professional in Los Angeles, involves using a higher concentration of bleaching agents. This method can produce dramatic results quickly, often in a single visit. The dentist applies the whitening solution to the teeth and uses a special light or laser to activate the bleaching process. While professional whitening is generally more expensive, it offers the advantage of professional supervision, ensuring safety and potentially better results compared to some at-home methods. The results can last for several months to a few years, depending on your lifestyle and oral hygiene.
At-Home Teeth Whitening Kits
At-home teeth whitening kits offer a more budget-friendly alternative. These kits typically include whitening strips, trays, or toothpastes containing lower concentrations of bleaching agents. The effectiveness varies based on the product and the individual’s teeth. While results might not be as immediate or dramatic as professional treatments, at-home kits can still provide noticeable whitening over time. It’s important to follow the instructions carefully and to consult with a dentist before starting to ensure it is safe for your teeth and gums. The prices of these kits vary, making it a great option for finding cheap teeth whitening.
Top 5 Tips for Cheap Teeth Whitening in Los Angeles
Finding affordable teeth whitening in Los Angeles requires a strategic approach. Here are five essential tips to help you achieve a brighter smile without exceeding your budget. These tips encompass various aspects, from research to maintenance, ensuring that you get the best value for your money and keep those pearly whites shining. By implementing these strategies, you can enjoy the benefits of teeth whitening while keeping costs low.
Tip 1 Research and Compare Prices

Before committing to any teeth whitening procedure, it’s crucial to research and compare prices from different dental clinics and providers in Los Angeles. Prices can vary significantly based on the location, the type of whitening method used, and the clinic’s reputation. Use online resources, check reviews, and compare the costs of both professional and at-home options. Don’t hesitate to call different clinics to inquire about their current pricing and any special offers they might have. This proactive approach will help you identify the most cost-effective solutions for your needs. Finding cheap teeth whitening often involves comparing prices.
Tip 2 Consider Different Whitening Methods
As mentioned, there are several types of teeth whitening methods available. While professional whitening provides immediate results, it is often more expensive than at-home kits. Consider whether your budget allows for professional treatment, or if at-home kits are a better option. At-home kits can be a more affordable way to whiten your teeth, but they require more time and commitment to see visible results. Another option is to ask about the cost for a hybrid solution that utilizes both professional and at-home methods. Understanding the different methods will allow you to pick the best cheap teeth whitening solution.
Tip 3 Look for Special Offers and Discounts
Many dental clinics in Los Angeles offer special promotions, discounts, and package deals on teeth whitening services. These offers can significantly reduce the cost of your treatment. Keep an eye out for seasonal promotions, new customer discounts, or bundled services that include teeth whitening along with other dental procedures. Signing up for email newsletters or following dental clinics on social media can also help you stay informed about current deals. By taking advantage of these opportunities, you can reduce the overall cost of your teeth whitening procedure and find cheap teeth whitening.
Tip 4 Maintain Good Oral Hygiene

Maintaining excellent oral hygiene is a critical aspect of achieving and maintaining a brighter smile. Regular brushing, flossing, and professional dental cleanings help remove surface stains and prevent future discoloration. Proper oral hygiene not only extends the life of your teeth whitening results but also reduces the need for frequent touch-ups. Consider using whitening toothpaste and mouthwash as part of your daily routine to further enhance the whitening effect. Good oral hygiene can reduce the frequency of professional treatments and save you money in the long run, making it a factor in cheap teeth whitening.
Tip 5 Explore At-Home Alternatives
If professional teeth whitening is outside your budget, exploring at-home alternatives can be a cost-effective solution. Over-the-counter whitening strips, trays, and toothpastes are readily available and relatively inexpensive. While they may not offer the same dramatic results as professional treatments, they can still improve the shade of your teeth over time. Be sure to carefully read and follow the instructions on any at-home product to ensure safe and effective use. Consult with your dentist to make sure the product is suitable for your teeth and gums. These alternatives can provide a path to cheap teeth whitening in Los Angeles.
Factors Influencing Teeth Whitening Cost
Several factors influence the cost of teeth whitening in Los Angeles, including location and the type of procedure. These factors can make a big difference in pricing. Understanding these elements can help you make informed decisions about the best options for cheap teeth whitening.
Location

The geographical location within Los Angeles plays a significant role in determining the cost of teeth whitening. Clinics in affluent areas or high-traffic zones tend to have higher prices due to increased overhead costs. Conversely, clinics in less-expensive areas may offer more competitive pricing. Comparing clinics across different neighborhoods can help you find more affordable options without compromising on quality of care.
Procedure Type
As discussed previously, the type of teeth whitening procedure greatly impacts the cost. Professional treatments are typically more expensive than at-home methods due to the expertise and equipment involved. The specific techniques used, such as the type of bleaching agent or the use of special lights, also affect the price. Understanding the differences between procedures and choosing the most appropriate method for your needs will help you stay within your budget and discover cheap teeth whitening options.
Popular Los Angeles Teeth Whitening Clinics
In Los Angeles, several reputable dental clinics offer teeth whitening services. Researching and comparing these clinics is crucial for making the right choice. Focus on clinics that provide clear pricing, positive patient reviews, and qualified dental professionals. Check for special offers and consider clinics with a strong reputation for both quality and affordability. Prioritize clinics that emphasize patient comfort and have a friendly and professional staff. Don’t be afraid to ask questions and make sure you feel confident and comfortable with your chosen provider. Consider the results and overall value to find cheap teeth whitening.
Conclusion

Achieving a brighter smile with cheap teeth whitening in Los Angeles is entirely possible with careful planning and research. By understanding the different types of procedures, comparing prices, looking for special offers, and maintaining good oral hygiene, you can find affordable options that meet your needs. Remember to prioritize your oral health by consulting with a dentist and following their recommendations. With the right approach, you can enjoy a confident, radiant smile without breaking the bank. Taking these steps will help you find cheap teeth whitening in Los Angeles, and make you ready to smile for years to come.
