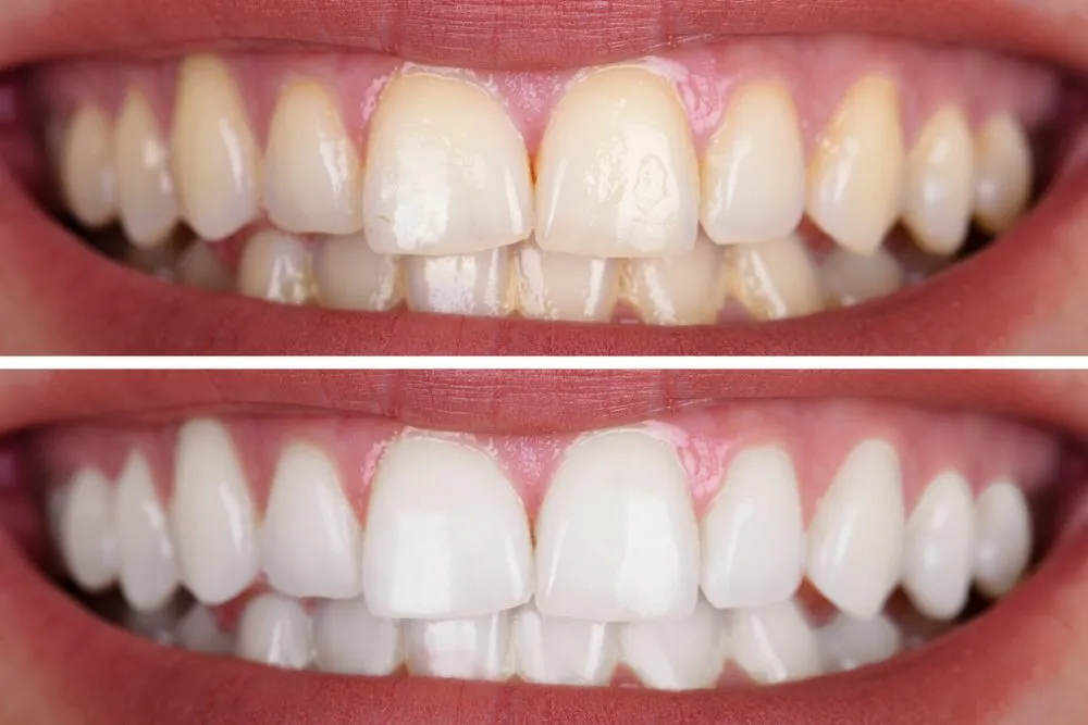
Understanding Dental Whitening
Dental whitening procedures have become incredibly popular, offering a path to a brighter, more confident smile. This guide delves into the various methods available, from professional treatments to at-home solutions, helping you understand the best options for your needs. The desire for a dazzling smile is universal, and with the advancements in cosmetic dentistry, achieving this goal is more accessible than ever. Whether you’re looking to address surface stains or deeper discoloration, this exploration of dental whitening will provide the insights you need to make informed decisions and maintain a radiant smile for years to come. A brighter smile can significantly boost your self-esteem and overall appearance, making dental whitening a worthwhile investment in your well-being.
What Causes Tooth Discoloration
Tooth discoloration can stem from a variety of factors, understanding these causes is crucial for effective whitening. The foods and drinks we consume, such as coffee, tea, and red wine, often contribute to surface stains. Additionally, smoking and the use of tobacco products are major culprits. However, discoloration isn’t always on the surface; intrinsic factors like aging, certain medications, and even genetics can impact the natural color of your teeth. Knowing the underlying cause helps in choosing the most appropriate whitening method. By addressing the root of the problem, you can achieve more lasting and satisfying results. Furthermore, awareness of these factors encourages preventative measures, such as dietary adjustments and avoiding tobacco, to maintain your bright smile.
Surface Stains

Surface stains are typically caused by the accumulation of pigments from food and beverages on the enamel surface. These stains are often easily removed with professional cleaning or at-home whitening products. Coffee, tea, red wine, and dark-colored foods are common culprits, as their pigments adhere to the tooth’s surface. Regular brushing and flossing can help prevent the buildup of these stains, but professional cleaning is often needed to remove them completely. Surface stains are generally the easiest to treat, and the results can be quickly noticeable. The treatment for surface stains often involves a combination of professional cleaning and the use of whitening toothpaste or strips, providing a straightforward path to a brighter smile.
Intrinsic Stains
Intrinsic stains originate from within the tooth structure, often caused by aging, certain medications (like tetracycline), excessive fluoride exposure, or trauma. These stains are more difficult to treat than surface stains, often requiring professional whitening procedures. Intrinsic stains affect the deeper layers of the tooth, making them less responsive to at-home treatments. The approach to addressing intrinsic stains usually involves more potent whitening agents or alternative treatments, such as veneers or bonding. Understanding the origin of the stains is essential for choosing the most effective treatment option and achieving the desired results. Consulting with a dentist is crucial for assessing the type and severity of the stains to determine the best course of action.
Methods for Dental Whitening
The methods for dental whitening vary depending on the severity of discoloration and individual preferences. Professional teeth whitening offers immediate and dramatic results, while at-home kits provide a more convenient and cost-effective option. The best method for you will depend on your specific needs, lifestyle, and budget. It is crucial to consult with a dentist to determine the most appropriate procedure. Each method has its advantages and potential drawbacks. Evaluating your options with professional guidance ensures the best possible outcome. Proper selection and execution of the right procedure can lead to a healthier and brighter smile.
Professional Teeth Whitening

Professional teeth whitening, often performed in a dental office, is one of the most effective ways to achieve a significantly brighter smile. These procedures use high-concentration bleaching agents that are carefully applied to the teeth under professional supervision. In-office whitening often involves a series of treatments, and the results can be immediate, with teeth becoming several shades whiter in a single session. The dentist can also address any sensitivity issues and ensure the safety of the procedure. Professional whitening provides the advantage of controlled and supervised treatment, maximizing the effectiveness of the whitening process and reducing potential risks. A brighter smile can be achieved in a single session.
In-Office Whitening Procedures
In-office whitening procedures typically involve isolating the gums with a protective barrier and applying a strong bleaching agent to the teeth. A special light or laser might be used to activate the whitening agent, speeding up the process. This method allows for precise control and often delivers more dramatic results than at-home treatments. The entire procedure usually takes about an hour or two, and the effects are often visible immediately. Your dentist will monitor your teeth throughout the process, ensuring your comfort and safety. This professional approach is ideal for those seeking rapid and significant improvements in their smile’s brightness. The entire process is done under professional supervision, minimizing any chances of potential side effects.
At-Home Whitening Kits
At-home whitening kits offer a convenient and more affordable alternative to in-office treatments. These kits typically include custom-fitted trays or pre-filled strips containing a lower concentration of bleaching agents. The advantage of at-home kits is that they can be used at your convenience, allowing you to whiten your teeth gradually. Following the instructions carefully is essential to ensure the safety and effectiveness of the treatment. While at-home kits may take longer to produce results than professional treatments, they can still provide a noticeable improvement in the brightness of your smile. Before using any at-home kit, it’s advisable to consult your dentist to determine if it’s suitable for your specific needs.
Whitening Toothpaste

Whitening toothpaste is a common and accessible option for enhancing your smile. These toothpastes contain mild abrasives and chemical agents that help remove surface stains. While they won’t drastically change the color of your teeth, they can contribute to a brighter appearance by removing everyday stains from coffee, tea, and other foods. Using whitening toothpaste regularly can maintain the brightness of your teeth and complement other whitening procedures. Choose a toothpaste that has been approved by a reputable dental association to ensure its safety and effectiveness. Whitening toothpastes are a simple addition to your oral hygiene routine, and are available in various flavors and formulations. They offer a mild and gentle way to improve your smile.
Whitening Strips
Whitening strips are thin, flexible strips coated with a whitening agent, usually hydrogen peroxide. They are applied directly to your teeth and are designed to be worn for a specific amount of time each day. Whitening strips are an effective and convenient at-home whitening option, providing noticeable results within a few weeks. They are readily available over-the-counter and are generally easy to use. Adhering to the instructions is crucial to avoid any potential side effects, such as increased sensitivity. The results from whitening strips can vary, but they often provide a significant improvement in your smile’s brightness. These strips are a simple yet effective way to address surface stains and achieve a whiter smile.
Other Whitening Options
Besides the standard methods, there are other options to consider, such as custom-made trays from your dentist or even certain natural remedies. These less conventional methods may work, but their effectiveness can vary. Always consult your dentist before trying alternative whitening procedures. Professional guidance ensures safety and helps you avoid procedures that could be harmful. Your dentist can recommend the best approach for your unique needs and dental condition. The use of dentist-approved alternatives can also guarantee you results that you desire.
Dental Veneers

Dental veneers are thin, custom-made shells that cover the front surface of your teeth, providing a dramatically improved appearance. Veneers can address severe discoloration, chips, and other imperfections. They are a more permanent solution than whitening treatments, as they offer long-lasting results. The process of getting veneers involves removing a small amount of enamel to accommodate the veneers, which are then bonded to your teeth. Veneers are an excellent option for those seeking a complete smile makeover and can transform your smile in a matter of weeks. Veneers can also enhance the shape and alignment of your teeth, delivering both cosmetic and functional benefits. The results are often life-changing.
Dental Bonding
Dental bonding is another cosmetic procedure used to improve the appearance of your teeth. It involves applying a tooth-colored resin to the teeth and shaping it to correct imperfections, such as discoloration, chips, or gaps. The resin is then hardened using a special light. Dental bonding is a quick, cost-effective alternative to veneers, especially for minor cosmetic issues. It offers a natural-looking result and can be completed in a single visit. While not as durable as veneers, dental bonding is a great option for those seeking an immediate improvement in their smile. It also helps in addressing a wide variety of cosmetic issues. Bonding is an affordable and effective way to enhance your smile.
Maintaining Your White Smile
Maintaining your newly whitened smile requires a proactive approach to oral hygiene and lifestyle choices. Regular dental check-ups and cleanings are essential for preventing stains and addressing any emerging issues. Avoiding or minimizing consumption of staining foods and drinks, such as coffee and red wine, can help preserve your bright smile. Furthermore, quitting smoking and practicing good oral hygiene habits will contribute to the longevity of your results. Following these guidelines will ensure that you enjoy your brighter smile for as long as possible. Consistent maintenance is the key to keeping your smile looking its best. Also, staying consistent with your dental care routine helps prevent discoloration and the need for future whitening treatments.
Post-Whitening Care

After any whitening procedure, it’s important to follow your dentist’s instructions for post-whitening care. This usually includes avoiding staining foods and drinks for a period of time and using a sensitivity toothpaste if needed. Maintaining good oral hygiene is crucial, which means brushing and flossing regularly. Additionally, your dentist might recommend a touch-up whitening treatment in the future to maintain your results. Proper post-whitening care ensures the long-term success of the procedure. Following the guidelines helps to reduce sensitivity and staining, preserving your bright smile. Moreover, regular dental checkups are essential for monitoring your progress and addressing any issues that may arise.
Tips for Long-Lasting Results
To maximize the longevity of your whitening results, adopt good oral hygiene habits. Brush your teeth at least twice a day and floss daily to remove plaque and prevent stains. Avoid tobacco products, as smoking can cause significant discoloration. Limit your intake of staining foods and drinks, such as coffee, tea, and red wine. Consider using a straw for beverages that may stain your teeth. Regular dental check-ups and professional cleanings will help to maintain your bright smile. By following these tips, you can enjoy a radiant smile for years to come. A commitment to these practices helps ensure that your investment in dental whitening pays off.
