Understanding Teeth Whitening in Huntington NY
Teeth whitening has become a popular cosmetic procedure in Huntington, NY, as individuals seek to enhance their smiles and boost their confidence. This guide provides comprehensive information on the various aspects of teeth whitening, from understanding the causes of discoloration to exploring treatment options and maintenance tips. Whether you are considering professional whitening or at-home methods, this guide will help you make informed decisions and achieve a brighter, more radiant smile. The journey to a dazzling smile begins with understanding the fundamentals of teeth whitening and the options available in Huntington, NY.
What Causes Tooth Discoloration?
Tooth discoloration can stem from a variety of factors, both internal and external. Understanding these causes is crucial for choosing the most effective whitening treatment. External stains are typically caused by the accumulation of pigments from food and drinks on the enamel surface. Internal stains, on the other hand, originate from within the tooth structure, often due to aging, trauma, or certain medications. Common culprits include coffee, tea, red wine, and tobacco, all of which contain chromogens, compounds that bind to the enamel, leading to discoloration. Recognizing the underlying causes can help you prevent future staining and maintain a brighter smile for longer.
The Impact of Diet and Lifestyle

Your diet and lifestyle choices significantly impact the color of your teeth. Consuming staining foods and beverages, such as berries, curries, and dark sauces, can contribute to discoloration over time. Additionally, habits like smoking and excessive alcohol consumption can exacerbate staining. Maintaining a balanced diet rich in fruits, vegetables, and water, coupled with good oral hygiene practices, can help minimize the impact of these factors. Regular dental check-ups and professional cleanings are also essential for removing surface stains and preventing further discoloration, ensuring your teeth remain healthy and bright. Making conscious choices about your diet and lifestyle is a proactive step towards achieving and maintaining a dazzling smile.
Common Causes of Staining
Several factors contribute to tooth staining. Dietary habits, such as consuming coffee, tea, and red wine, are major contributors. Tobacco use, whether smoking or chewing, is another significant cause, as nicotine and tar leave behind stubborn stains. Poor oral hygiene, including infrequent brushing and flossing, allows stains to accumulate. Aging also plays a role, as the enamel thins over time, revealing the darker dentin beneath. Certain medications, such as tetracycline, taken during tooth development, can cause internal staining. Understanding these common causes can help you take preventative measures and seek appropriate treatments to combat discoloration.
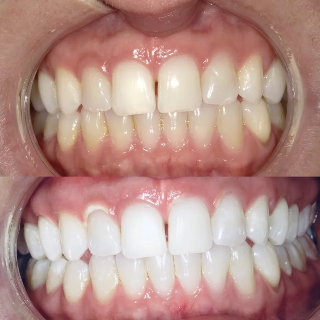
Types of Teeth Whitening Treatments
Teeth whitening treatments vary significantly in method, strength, and cost, offering options to suit different needs and preferences. Treatments can be broadly categorized into professional and at-home methods. Professional whitening, performed by a dentist, typically involves stronger bleaching agents and is more effective for significant discoloration. At-home options include over-the-counter products like whitening strips and custom-fitted trays with a bleaching gel. Each type has its own advantages and drawbacks, influencing the choice depending on individual circumstances, the degree of staining, and desired results. Choosing the right method involves understanding these differences and considering factors like cost, convenience, and sensitivity.
In-Office Professional Whitening

In-office professional whitening, conducted by a dentist in Huntington, NY, offers the most effective and rapid results. This method uses a high-concentration bleaching agent applied directly to the teeth, often combined with a special light or laser to accelerate the process. The procedure typically involves multiple sessions, each lasting about an hour, during which the dentist monitors the progress and ensures the patient’s comfort. This treatment is ideal for individuals seeking significant whitening in a short time frame. The dentist also protects the gums and soft tissues during the procedure, minimizing potential sensitivity. Professional whitening can deliver dramatic results in a single visit, making it a popular choice for those wanting a quick smile transformation.
Benefits of Professional Whitening
Professional teeth whitening in Huntington, NY offers several key benefits over at-home alternatives. It provides faster and more dramatic results, as the dentist uses stronger bleaching agents. The process is safer, with a dentist monitoring the treatment and protecting the gums and soft tissues. It also offers personalized care, as the dentist can tailor the treatment to your specific needs and the degree of staining. Professional whitening can address a wider range of discoloration issues and is often more effective for stubborn stains. This method is also a more reliable option, ensuring consistent and predictable outcomes, leading to enhanced confidence and a brighter smile.
At-Home Whitening Options
At-home teeth whitening offers a convenient and cost-effective alternative to professional treatments. Several options are available, including over-the-counter products like whitening strips, gels, and toothpastes. Whitening strips are easy to use, adhering directly to the teeth to deliver a bleaching agent. Whitening gels can be applied using custom-fitted trays or with applicators, while whitening toothpastes help remove surface stains. These methods are generally less potent than professional treatments, making them suitable for mild to moderate staining. While at-home options offer convenience, it’s crucial to follow the instructions carefully to minimize the risk of sensitivity or uneven results. Consulting with your dentist can help you select the most appropriate at-home product.
Over-the-Counter Whitening Products

Over-the-counter (OTC) whitening products are readily available in Huntington, NY, providing a convenient way to brighten your smile. Common OTC options include whitening strips, gels, and toothpastes. Whitening strips, designed for easy application, adhere to the teeth and deliver a bleaching agent. Whitening gels can be applied using trays or applicators, offering a more customized approach. Whitening toothpastes contain mild abrasives that help remove surface stains. These products are generally less concentrated than professional treatments and are suitable for minor discoloration. When using OTC products, it is vital to follow the manufacturer’s instructions to avoid adverse effects, such as tooth sensitivity or gum irritation. Consulting with your dentist can guide you in choosing safe and effective OTC options.
Custom Whitening Trays
Custom whitening trays offer a more personalized and effective at-home whitening experience. Your dentist in Huntington, NY, will take impressions of your teeth to create custom-fitted trays. These trays are designed to fit your teeth precisely, ensuring even distribution of the whitening gel and minimizing gum irritation. You’ll apply a bleaching gel to the trays and wear them for a specified period, usually a few hours a day or overnight, as directed by your dentist. Custom trays provide a more controlled application than generic strips and offer better results. The professional guidance ensures that you receive the appropriate strength of the bleaching agent and receive instructions on its safe and effective use.
Choosing the Right Teeth Whitening Method
Selecting the right teeth whitening method involves considering several factors. The degree of staining is a crucial determinant; for severe discoloration, professional whitening often delivers the best results. The desired speed of results also influences the choice; in-office treatments provide immediate improvements, whereas at-home methods require more time. Budget and convenience are other important considerations; professional treatments are more expensive but offer greater convenience. Sensitivity levels vary among individuals, and some methods may cause more sensitivity than others. Consulting with a dentist in Huntington, NY, allows you to assess your specific needs and receive personalized recommendations to help you choose the method that aligns best with your goals and circumstances.
Factors to Consider When Choosing a Method

Several factors should be considered when choosing a teeth whitening method. The severity of your tooth discoloration is a primary consideration. The level of staining impacts the effectiveness of different treatments; for example, professional whitening is usually more effective for severe stains. Your budget plays a role, with at-home options typically being more affordable than in-office treatments. Your sensitivity to teeth whitening agents is another critical factor; some methods may cause more sensitivity. The desired speed of results is also important; if you want immediate results, professional whitening is the best choice. Consultation with a dentist in Huntington, NY, can help you evaluate these factors and choose the most appropriate method.
Benefits and Drawbacks of Each Method
Each teeth whitening method comes with its own set of benefits and drawbacks. Professional whitening offers immediate results, stronger bleaching agents, and expert supervision, but it is more expensive. At-home whitening provides convenience and affordability, but results may take longer, and there’s a risk of uneven whitening. Over-the-counter products are easy to obtain and affordable, but they are often less effective, and results may vary. Custom whitening trays offer a balance of effectiveness and affordability, but require a dentist’s involvement. Considering these factors is essential in selecting the method that aligns best with your goals and preferences, ensuring you achieve the desired outcome while minimizing potential risks.
Finding a Qualified Dentist in Huntington NY
Finding a qualified dentist in Huntington, NY, is crucial for safe and effective teeth whitening. Look for a dentist with experience in cosmetic dentistry and a good reputation in the community. Check online reviews and testimonials to gauge patient satisfaction and assess the dentist’s expertise. Ensure the dentist uses advanced technology and offers a range of whitening options. Verify that the practice adheres to strict safety protocols and sterilization procedures. Schedule a consultation to discuss your goals and evaluate the dentist’s approach. A qualified dentist will provide a thorough examination, discuss your options, and customize a treatment plan to meet your specific needs, ensuring optimal results and a positive experience.
Importance of a Consultation

A consultation with a dentist in Huntington, NY, is a vital first step in the teeth whitening process. During the consultation, the dentist will evaluate your oral health, assess the causes and severity of your discoloration, and determine the most appropriate treatment options. The dentist will discuss your goals and expectations and explain the benefits and drawbacks of each method. They will also address any concerns or questions you have and provide personalized recommendations based on your specific needs. The consultation provides an opportunity to build trust and rapport with the dentist. This ensures you make an informed decision and achieve the best possible results while ensuring your oral health remains a priority.
Questions to Ask Your Dentist
During your consultation, it is essential to ask your dentist relevant questions to ensure you fully understand the teeth whitening process. Inquire about the different whitening options available, their effectiveness, and potential side effects. Ask about the dentist’s experience with teeth whitening and request to see before-and-after photos of previous patients. Find out how long the treatment will take and what to expect during the process. Inquire about the cost of the treatment and whether it includes any follow-up care. Ask about any specific instructions for aftercare and how to maintain your results. Asking these questions will equip you with the knowledge to make an informed decision and ensure a successful outcome.
The Teeth Whitening Process
The teeth whitening process generally involves several steps, whether in-office or at-home. The process begins with an initial consultation to assess your oral health and discuss your goals. Professional whitening usually involves the dentist isolating the teeth, applying a high-concentration bleaching agent, and using a special light or laser to activate the whitening process. At-home whitening involves using custom-fitted trays or over-the-counter products as directed. The process typically includes pre-treatment preparation, the whitening procedure itself, and post-treatment care. Following the dentist’s instructions carefully is crucial to ensure the best results and minimize potential risks. Understanding each step helps you feel more confident about the process and achieve a brighter smile.
Pre-Treatment Preparation

Before undergoing teeth whitening, certain pre-treatment preparations are necessary. Your dentist in Huntington, NY, will conduct a thorough oral examination to check for any underlying issues, such as cavities or gum disease, that need to be addressed before whitening. Professional cleaning to remove plaque and tartar buildup is often recommended to enhance the effectiveness of the whitening treatment. If you have any existing dental work, like fillings or crowns, the dentist will discuss the potential impact of whitening on these restorations. Following these preparations ensures that your teeth are in optimal condition and the whitening treatment achieves the best possible results.
The Whitening Procedure
The whitening procedure varies depending on the method chosen, whether in-office or at-home. In-office whitening involves isolating the teeth, protecting the gums, and applying a high-concentration bleaching agent. A special light or laser may be used to accelerate the whitening process. At-home whitening involves applying a bleaching gel to custom trays or using over-the-counter products, following the dentist’s or manufacturer’s instructions. The procedure usually involves multiple sessions, and the dentist monitors progress, ensuring patient comfort and safety. Proper application and adherence to the instructions are crucial to achieve desired results and minimize potential sensitivity or other side effects.
Post-Treatment Care and Maintenance
Post-treatment care and maintenance are essential for prolonging the results of teeth whitening. Following the dentist’s instructions is crucial. This may include using a desensitizing toothpaste to alleviate sensitivity, avoiding staining foods and beverages, and maintaining good oral hygiene. Regular dental check-ups and professional cleanings are also essential to remove surface stains and maintain your bright smile. Using whitening toothpaste can help sustain the results, and touch-up treatments may be recommended. Following post-treatment care guidelines ensures that you enjoy your brighter smile for a longer period, protecting your investment in teeth whitening.
Maintaining Your Bright Smile
Maintaining a bright smile requires consistent effort and good oral hygiene practices. Brushing your teeth twice a day with a whitening toothpaste helps remove surface stains and prevent discoloration. Flossing daily removes plaque and debris from between your teeth, contributing to overall oral health. Regular dental check-ups and professional cleanings are essential for removing stubborn stains and maintaining your bright smile. Limiting the consumption of staining foods and beverages, like coffee, tea, and red wine, helps prevent future discoloration. Avoiding tobacco use and practicing good oral hygiene habits are key to preserving your teeth whitening results and keeping your smile radiant.
Tips for Long-Lasting Results
Several tips can help you achieve and maintain long-lasting teeth whitening results. Avoid or limit the consumption of staining foods and drinks, such as coffee, tea, red wine, and dark berries. Practice good oral hygiene by brushing your teeth twice a day with a whitening toothpaste and flossing daily. Consider using a straw when drinking staining beverages to minimize contact with your teeth. Schedule regular dental check-ups and professional cleanings to remove surface stains and maintain your bright smile. Consider touch-up treatments as recommended by your dentist. Avoiding tobacco use and practicing these habits will help you enjoy your brighter smile for years to come.
Foods and Drinks to Avoid
Certain foods and drinks can compromise your teeth whitening results. Beverages like coffee, tea, red wine, and dark colas contain staining pigments that can cause discoloration. Highly pigmented foods such as berries, curries, and soy sauce can also stain your teeth. Tobacco products, including cigarettes and chewing tobacco, are major contributors to tooth staining. To preserve your bright smile, it’s best to minimize the consumption of these items. If you consume these, rinse your mouth with water afterward or brush your teeth to reduce the impact of staining. By avoiding these foods and drinks, you significantly increase the longevity of your teeth whitening results.
Cost of Teeth Whitening in Huntington NY
The cost of teeth whitening in Huntington, NY, varies depending on the treatment method. Professional in-office whitening is typically more expensive than at-home options. The cost is affected by the type of treatment, the dentist’s fees, and the complexity of the case. At-home whitening kits are more affordable, with over-the-counter products being the least expensive option. Custom whitening trays from a dentist fall in between in terms of cost. It is important to discuss costs with your dentist and understand what is included in the price, such as follow-up visits or touch-up treatments. Consider this factor when selecting the best option for your budget and desired outcome.
Factors Affecting the Cost
Several factors influence the cost of teeth whitening in Huntington, NY. The type of whitening treatment is a primary factor, with professional in-office treatments generally being more expensive. The experience and reputation of the dentist can also affect the cost. Additional services, such as pre-treatment cleanings or custom trays, may increase the overall price. The complexity of your case, including the extent of discoloration and the number of treatments needed, impacts the final cost. The location of the dental practice can also influence the price, with practices in more affluent areas sometimes charging higher fees. It is recommended to get a detailed estimate and discuss all associated costs with your dentist beforehand.
Insurance Coverage
In most cases, teeth whitening is considered a cosmetic procedure and is not covered by dental insurance. However, it is essential to check with your insurance provider to confirm your specific policy. Some plans may cover a portion of the cost if teeth whitening is deemed medically necessary, for example, to address discoloration caused by trauma or certain medications. Flexible Spending Accounts (FSAs) and Health Savings Accounts (HSAs) may be used to pay for teeth whitening, as they allow pre-tax dollars to be spent on eligible healthcare expenses. Understanding your insurance coverage is essential for budgeting and planning your teeth whitening treatment.
Potential Risks and Side Effects
While teeth whitening is generally safe, it can have potential risks and side effects. The most common side effect is tooth sensitivity, which can range from mild to moderate. Gum irritation can also occur, especially if the bleaching agent comes into contact with the gums. In rare cases, there may be uneven whitening or changes to existing dental work, such as fillings or crowns. It’s crucial to discuss these potential risks with your dentist and follow their instructions carefully to minimize adverse effects. Choosing a qualified dentist and following their recommendations will ensure you get the best possible results with minimal complications.
Sensitivity and Gum Irritation
Tooth sensitivity and gum irritation are potential side effects of teeth whitening. Sensitivity can occur because the bleaching agents can temporarily dehydrate the teeth. Gum irritation can occur if the bleaching agent comes into contact with the gums, causing redness or swelling. To minimize these side effects, your dentist may recommend using a desensitizing toothpaste or adjusting the treatment plan. Following the dentist’s instructions carefully, using custom trays, and avoiding over-the-counter products with high concentrations of bleach can also help. If you experience sensitivity or irritation, inform your dentist immediately, who can provide appropriate guidance and solutions.
Alternatives to Teeth Whitening
Several alternatives to teeth whitening can improve the appearance of your smile. Dental veneers are thin, custom-made shells that cover the front surface of your teeth, concealing stains and imperfections. Dental bonding involves applying a tooth-colored resin to the teeth to repair chips, cracks, or discoloration. Professional teeth cleaning can remove surface stains and improve the overall brightness of your teeth. Choosing the right alternative depends on your specific needs and preferences, the nature of the staining, and the desired cosmetic outcome. Consulting with a dentist in Huntington, NY, will allow you to determine the most appropriate option to achieve your smile goals.
Dental Veneers
Dental veneers are a popular cosmetic dentistry option in Huntington, NY, used to address a variety of aesthetic issues, including severe tooth discoloration that may not respond to teeth whitening. Veneers are thin, custom-made shells typically crafted from porcelain that are bonded to the front surface of the teeth. They effectively conceal stains, chips, cracks, and gaps, providing a natural and aesthetically pleasing smile. Veneers are durable and can last for many years with proper care, making them a long-term solution for smile enhancement. The process involves preparing the teeth, taking impressions, and bonding the veneers. The result is a dramatically improved smile with a consistent, bright, and attractive appearance.
Dental Bonding
Dental bonding is a minimally invasive cosmetic procedure used to repair minor imperfections in your teeth, including discoloration, chips, and cracks. The process involves applying a tooth-colored resin to the affected area and shaping it to match the surrounding teeth. The resin is then hardened with a special light, and the dentist polishes it to create a natural-looking finish. Dental bonding is a cost-effective and quick solution that often requires only one visit to the dentist. It provides an immediate improvement in the appearance of your smile. Although less durable than veneers, dental bonding is suitable for minor cosmetic issues and can provide a significant enhancement to your smile.
Conclusion
Teeth whitening in Huntington, NY, offers a range of options to achieve a brighter, more confident smile. By understanding the causes of discoloration, exploring various treatment methods, and practicing good oral hygiene, you can make informed decisions and achieve your desired results. Professional whitening offers rapid and dramatic transformations, while at-home options provide convenience and affordability. Remember to consult with a qualified dentist to determine the best approach for your specific needs and ensure a safe and effective treatment. With the right care and maintenance, you can enjoy a radiant smile and lasting confidence for years to come. Take the first step towards a brighter smile today!
