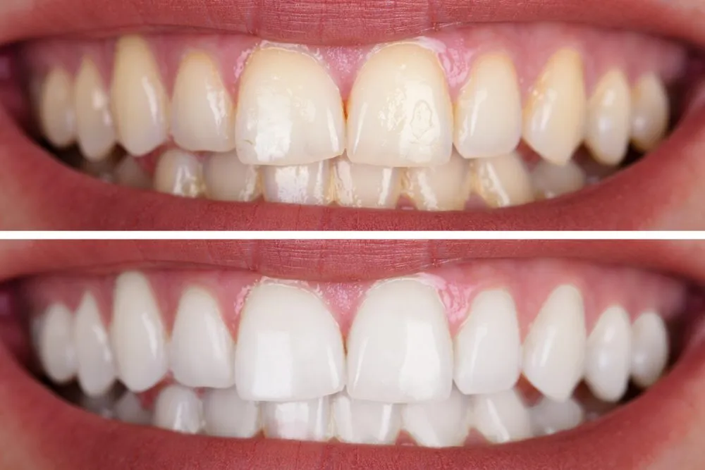
What is Office Dental Whitening?
Office dental whitening, often called in-office teeth whitening, is a cosmetic dental procedure designed to lighten the color of your teeth. It’s a professional treatment performed by a dentist or a trained dental professional. The process involves the application of a strong bleaching agent, typically a hydrogen peroxide-based gel, to the teeth. Unlike over-the-counter whitening products, office whitening uses higher concentrations of the bleaching agent, which can lead to more dramatic results in a shorter amount of time. The procedure is usually completed in a single visit, making it a convenient option for those seeking immediate improvements to their smile. The goal is to remove stains and discoloration, giving patients a brighter and more confident smile.
How Does Office Dental Whitening Work?
The science behind office dental whitening relies on the oxidation process. The bleaching agent, usually a high-concentration hydrogen peroxide gel, penetrates the enamel and dentin of the teeth. This gel breaks down into free radicals, which then react with the stain molecules present in the teeth. These stain molecules are broken down into smaller, less concentrated particles, which reflect less light, making the teeth appear brighter. In some cases, a special light or laser might be used to accelerate the bleaching process, although this isn’t always necessary. The procedure is carefully monitored by a dental professional to ensure the safety and effectiveness of the treatment.
The Office Dental Whitening Procedure

Pre-Whitening Consultation
Before undergoing office dental whitening, a comprehensive consultation is essential. Your dentist will examine your teeth and gums to ensure they are healthy enough for the procedure. They will assess the type and extent of staining, discuss your expectations, and inform you about the potential results and any risks involved. This consultation might include taking photographs of your teeth to track the progress. Your dentist will also discuss your medical history and any sensitivities you might have, as well as discuss any previous dental work such as fillings or crowns, which will not whiten with the treatment.
The Whitening Process
The actual whitening process typically involves several steps. First, your dentist will isolate your teeth, usually by using a cheek retractor to keep your mouth open and a protective barrier to shield your gums from the bleaching agent. The whitening gel is then applied to the surface of your teeth. Depending on the product and the desired results, this may be repeated several times during the session. A special light or laser may be used to enhance the whitening effect by activating the bleaching agent. The entire process usually takes between one to two hours.
Post-Whitening Care and Maintenance

After the office dental whitening procedure, you’ll receive instructions on how to care for your teeth. It’s common to experience some sensitivity for a few days following the treatment. You may be advised to avoid certain foods and drinks, such as coffee, tea, red wine, and dark-colored sauces, as they can stain your teeth. Maintaining good oral hygiene, including brushing and flossing regularly, will help to prolong the results. Your dentist may also recommend using a whitening toothpaste or touch-up treatments at home to maintain the brightness of your smile. Regular dental check-ups and cleanings are also essential for long-term oral health and the maintenance of your newly whitened teeth.
Benefits of Office Dental Whitening
Faster and More Effective Results
One of the primary benefits of office dental whitening is the speed and effectiveness of the treatment. The higher concentration of bleaching agents used in-office, coupled with professional application, can produce significantly brighter results in a single session. This is in stark contrast to over-the-counter products, which may take weeks or months to show noticeable improvements. The immediate results are particularly appealing for those seeking a quick smile makeover before a special event, such as a wedding or a job interview. The professional setting ensures that the procedure is performed safely and effectively, maximizing the potential for successful outcomes.
Professional Supervision and Safety

Office dental whitening is performed under the supervision of a dental professional, ensuring both safety and effectiveness. Dentists and trained dental hygienists are equipped with the knowledge and tools to safely administer the whitening treatment. They can assess your oral health, identify any potential issues, and take measures to protect your gums and soft tissues from the bleaching agent. They also have the expertise to manage any sensitivity that may arise during or after the procedure. This professional oversight minimizes the risks associated with teeth whitening and maximizes the likelihood of achieving the desired results safely.
Personalized Treatment Plans
Each patient’s teeth and oral health needs are unique, and office dental whitening allows for a personalized approach. Before the procedure, your dentist will evaluate your specific needs, including the type and severity of stains and your desired level of whitening. They can then tailor the treatment to suit your individual circumstances, including the concentration of the bleaching agent, the number of applications, and the use of a light or laser. This personalized approach ensures that the treatment is both effective and safe, maximizing the chances of achieving the best possible outcome for your smile. The customized treatment plans address individual needs, ensuring the best results.
Who is a Good Candidate for Office Dental Whitening?
Ideal Candidates

Ideal candidates for office dental whitening are individuals with healthy teeth and gums who have extrinsic stains, such as those caused by coffee, tea, red wine, or smoking. The procedure is generally most effective on these types of surface stains. It’s also a good option for people who want a quick and noticeable improvement in the brightness of their teeth. Those with realistic expectations about the results and a commitment to maintaining good oral hygiene are also well-suited for this procedure. The best candidates will have had a recent dental check-up to rule out any underlying issues like cavities or gum disease.
Individuals with Stained Teeth
Office dental whitening is most effective for individuals with stained teeth. These stains can result from various factors, including the consumption of staining foods and drinks, tobacco use, and the natural aging process. The bleaching agents used in the procedure work to break down these stain molecules, leading to a brighter smile. However, it’s important to note that the effectiveness of the treatment can vary depending on the type and severity of the staining. Intrinsic stains, which occur within the tooth structure, may be less responsive to whitening treatments than extrinsic stains. A consultation with your dentist can help you determine if office dental whitening is the right choice for you.
Factors to Consider Before Whitening
Before undergoing office dental whitening, several factors should be taken into consideration. It’s essential to have a comprehensive dental examination to ensure that your teeth and gums are healthy. Existing dental work, such as fillings, crowns, and veneers, will not whiten with the procedure, and may need to be replaced to match the new shade of your teeth. It’s also important to have realistic expectations about the results. The degree of whitening can vary, and the procedure may not completely eliminate all stains. Additionally, some people may experience temporary sensitivity after the treatment. Discussing these factors with your dentist will help you make an informed decision.
Cost and Maintenance of Office Dental Whitening

Average Cost of the Procedure
The cost of office dental whitening can vary depending on several factors, including your location, the dentist’s fees, and the specific whitening system used. Generally, it’s more expensive than at-home whitening treatments, but it offers the advantage of immediate results. During the consultation, your dentist will provide a detailed cost estimate. It’s important to consider this cost as an investment in your smile and overall confidence. Some dental insurance plans may cover a portion of the cost if the whitening is deemed medically necessary, but this is rare. Be sure to discuss payment options with your dentist before scheduling your treatment.
Maintaining Your Whitened Smile
Maintaining the results of office dental whitening requires consistent effort and good oral hygiene practices. Avoiding or limiting the consumption of staining foods and drinks, such as coffee, tea, red wine, and berries, can help prevent discoloration. Regular brushing and flossing are essential for removing surface stains and maintaining overall oral health. Your dentist may recommend using a whitening toothpaste or a touch-up kit at home to help maintain the brightness of your smile. Regular dental check-ups and professional cleanings are also crucial for preserving the results of your whitening treatment. By following these guidelines, you can enjoy a brighter smile for a longer period.
Common Questions about Office Dental Whitening

Is Office Dental Whitening Painful?
Most people do not experience significant pain during office dental whitening. However, some individuals may experience temporary tooth sensitivity during or after the procedure. This sensitivity is usually mild and subsides within a few days. Your dentist can take measures to minimize any discomfort, such as using a desensitizing agent before the procedure or recommending a sensitive toothpaste for use afterward. If you have concerns about sensitivity, be sure to discuss them with your dentist before undergoing the treatment. The vast majority of patients report that any discomfort is temporary and well worth the results.
How Long Does Office Dental Whitening Last?
The longevity of office dental whitening results can vary depending on individual factors, such as oral hygiene habits, diet, and lifestyle. On average, the effects of in-office whitening can last from six months to three years. However, avoiding staining foods and drinks, maintaining good oral hygiene, and attending regular dental check-ups can help to prolong the results. Touch-up treatments or at-home whitening kits may also be used to maintain the brightness of your smile. With proper care and maintenance, you can enjoy the benefits of your whitened teeth for an extended period, maintaining your beautiful smile.
Office Dental Whitening vs At-Home Whitening
Choosing the Right Whitening Method
Choosing between office dental whitening and at-home whitening depends on your individual needs, preferences, and budget. Office dental whitening offers the advantage of immediate results and professional supervision, making it ideal for those who want a quick and dramatic improvement in their smile. At-home whitening, on the other hand, is a more affordable option that you can do at your own pace. The choice also depends on the severity of your stains, your oral health, and your lifestyle. If you have extensive staining or want a significant improvement, office whitening may be the best choice. Discussing your options with your dentist can help you determine the most suitable method for achieving your desired results and maintaining a healthy, bright smile. Remember, professional guidance can tailor the best method for your unique needs.
In conclusion, office dental whitening is a safe and effective way to brighten your smile quickly. By understanding the process, benefits, and considerations, you can make an informed decision about whether it is the right choice for you. Consult with your dentist to determine if office dental whitening is appropriate for your oral health needs and aesthetic goals.
