What is Teeth Whitening?
Teeth whitening, also known as tooth bleaching, is a cosmetic dental procedure designed to lighten the color of your teeth and remove stains and discoloration. It’s one of the most popular cosmetic dentistry procedures, offering a quick and effective way to enhance your smile. Over time, teeth naturally darken due to factors like aging, genetics, and lifestyle choices such as consuming coffee, tea, red wine, and smoking. Teeth whitening treatments can counteract these effects, restoring a brighter, more youthful appearance to your teeth. The process works by using bleaching agents, usually hydrogen peroxide or carbamide peroxide, to break down stain molecules within the enamel. The effectiveness of teeth whitening depends on the type of staining, the concentration of the bleaching agent, and the duration of the treatment.
Types of Teeth Whitening Treatments Available
In Bethesda, various teeth whitening treatments cater to different needs and budgets. These treatments range from professional in-office procedures to over-the-counter options. Each method offers varying levels of effectiveness, convenience, and cost. Choosing the right type of teeth whitening treatment depends on the extent of discoloration, your budget, and your desired results. Consulting with a qualified dentist in Bethesda is crucial to determine the most suitable option for your specific needs and oral health condition. Professional treatments usually provide faster and more dramatic results compared to at-home methods, but they come with a higher price tag.
In-Office Teeth Whitening

In-office teeth whitening, performed by a dental professional in Bethesda, provides the most immediate and dramatic results. This procedure involves applying a high-concentration bleaching agent to the teeth, often followed by the use of a special light or laser to accelerate the whitening process. The entire procedure typically takes about an hour or two, making it a convenient option for those seeking immediate results. In-office treatments are generally more effective for deep stains and discoloration. The dentist will monitor the process to ensure the safety and efficacy of the treatment, minimizing the risk of gum irritation or tooth sensitivity. The results can last for several months to a year, depending on your lifestyle and oral hygiene habits.
Professional Take-Home Teeth Whitening Kits
Professional take-home teeth whitening kits offer a balance between convenience and effectiveness. Your Bethesda dentist will provide custom-fitted trays and a professional-strength whitening gel. You apply the gel to the trays and wear them for a specified amount of time each day, usually for a few hours or overnight, as directed by your dentist. This method allows for a more gradual whitening process and can be a more affordable option compared to in-office treatments. The results are usually visible within a few days to a couple of weeks. Regular use of take-home kits can maintain your bright smile for an extended period. Your dentist will provide guidance and monitor your progress to ensure optimal results and minimize any potential side effects.
Over-the-Counter Teeth Whitening Products
Over-the-counter (OTC) teeth whitening products are readily available at most drugstores and supermarkets in Bethesda. These products include whitening toothpaste, strips, and gels. While they are more accessible and affordable, they typically contain lower concentrations of bleaching agents, resulting in less dramatic results compared to professional treatments. Whitening toothpaste can help remove surface stains and maintain whiteness, but they cannot significantly alter the natural color of your teeth. Whitening strips are easy to use and provide noticeable results, but they may not whiten evenly. OTC products are a good option for minor staining and maintaining a bright smile, but for significant discoloration, professional treatments are often recommended. Always follow the instructions carefully to avoid any potential side effects.
The Bethesda Teeth Whitening Procedure Step-by-Step

Understanding the steps involved in teeth whitening can help you feel more comfortable and informed about the process. Whether you choose an in-office treatment or a take-home kit, the process usually involves a consultation, assessment, preparation, and the whitening treatment itself. Proper post-treatment care is essential to maintain the results and ensure the long-term health of your teeth. Knowing what to expect can alleviate any anxiety and help you make an informed decision about your teeth whitening journey.
Consultation and Assessment
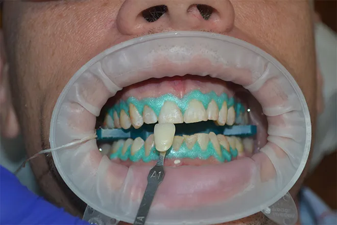
Before any teeth whitening procedure, your Bethesda dentist will conduct a thorough consultation and assessment. This involves a review of your medical and dental history, an examination of your teeth and gums, and a discussion about your expectations and goals. The dentist will assess the type and severity of staining, the overall health of your teeth, and identify any potential issues that might affect the outcome of the treatment. This assessment is crucial to determine the most appropriate whitening method and to ensure your safety. They may also take photos of your teeth to document the starting shade and track progress. During this stage, you can ask questions and express any concerns you may have.
Teeth Cleaning and Preparation
Before the whitening treatment, your dentist in Bethesda will clean your teeth to remove plaque and tartar buildup. This is essential to ensure that the whitening agent can effectively penetrate the enamel. They may also polish your teeth to remove surface stains. If you have any existing dental work, such as fillings or crowns, the dentist will assess whether these will be affected by the whitening process. In some cases, the dentist may recommend replacing these restorations to match the newly whitened teeth. Protecting your gums is also crucial, and the dentist will apply a protective barrier to prevent irritation from the bleaching agent.
Whitening Agent Application

The application of the whitening agent is the core of the teeth whitening procedure. In-office treatments involve applying a high-concentration bleaching gel to your teeth. A special light or laser may be used to activate the whitening agent, accelerating the process. The gel is typically left on the teeth for a specific amount of time and then removed. This process may be repeated multiple times during a single session to achieve the desired results. With take-home kits, you will apply the professional-strength whitening gel to custom-fitted trays and wear them for the recommended amount of time. The gel works to break down the stain molecules within the enamel, resulting in a brighter smile.
Post-Treatment Care and Maintenance
Following your teeth whitening treatment, proper post-treatment care is essential to maintain your results and protect your teeth. Your Bethesda dentist will provide specific instructions, including dietary guidelines and oral hygiene practices. You may experience some temporary tooth sensitivity after the procedure, which can be managed with desensitizing toothpaste or over-the-counter pain relievers. Avoid consuming staining foods and drinks, such as coffee, tea, red wine, and dark-colored berries, for at least the first few days. Regular dental check-ups and cleanings are important to maintain your bright smile and address any potential issues. Your dentist may recommend touch-up treatments to maintain your desired level of whiteness.
Cost of Teeth Whitening in Bethesda
The cost of teeth whitening in Bethesda can vary depending on the type of treatment, the dentist’s fees, and the extent of the procedure. In-office treatments are generally more expensive than take-home kits or over-the-counter products. Factors such as the dentist’s experience, the materials used, and the location of the practice can also influence the price. It’s essential to consider the long-term value and the benefits of professional teeth whitening, such as the expertise of the dentist and the safety of the procedure. While the initial cost may be higher, professional treatments often provide more predictable and longer-lasting results.
Factors Influencing the Cost of Teeth Whitening

Several factors can affect the cost of teeth whitening in Bethesda. These include the type of treatment, the dentist’s experience and reputation, the location of the dental practice, and any additional services provided. In-office treatments typically involve higher costs due to the expertise of the dentist, the specialized equipment used, and the immediate results they provide. The cost of take-home kits is generally lower but still depends on the strength of the whitening gel and the custom-fitted trays. Over-the-counter products are the most affordable option, but their effectiveness may be limited. It’s important to consider all these factors when budgeting for teeth whitening and to choose a treatment that meets your needs and budget.
Finding a Reputable Dentist in Bethesda
Choosing a reputable dentist in Bethesda is crucial for a successful and safe teeth whitening experience. Look for dentists with experience in cosmetic dentistry and a positive reputation in the community. Check for their credentials and read online reviews to get insights into their patient care and the quality of their work. A good dentist will take the time to understand your needs and goals, provide a thorough consultation, and explain the different treatment options available. They will also ensure that you are a good candidate for teeth whitening and address any potential risks or concerns. Finding a dentist you trust is key to achieving a bright, healthy smile.
Reading Reviews and Checking Credentials
Before choosing a dentist in Bethesda for teeth whitening, it’s essential to research their credentials and read online reviews. Check for their license and certifications to ensure they are qualified to perform cosmetic dental procedures. Read reviews from other patients to gain insights into their experiences with the dentist, the quality of their work, and their level of patient care. Look for dentists with positive reviews and a strong reputation in the community. Pay attention to comments about the dentist’s communication skills, their ability to address patient concerns, and the overall outcome of the treatments. Online reviews can provide valuable information that helps you make an informed decision.
Comparing Prices and Services

When searching for a dentist for teeth whitening in Bethesda, comparing prices and services is a wise approach. Contact several dental practices and inquire about their fees for different teeth whitening treatments. Get a detailed breakdown of the costs involved, including the consultation fee, the procedure cost, and any additional expenses. Ask about the specific whitening products and technologies used by each dentist. Also, inquire about the dentist’s experience and expertise in cosmetic dentistry. While cost is a factor, prioritize quality, and ensure you are comfortable with the dentist and the services they provide. Choosing a dentist based on value, rather than just the lowest price, can often lead to better results and a more satisfying experience.
Benefits of Teeth Whitening
Teeth whitening offers numerous benefits, extending beyond just a brighter smile. It can significantly boost your confidence and self-esteem, improve your oral health, and contribute to a more youthful appearance. A whiter smile can make a lasting impression, enhancing your social and professional interactions. The benefits of teeth whitening extend far beyond aesthetics, contributing to your overall well-being and quality of life. Investing in teeth whitening can be a worthwhile investment in your self-image and dental health.
Boosting Confidence and Self-Esteem
One of the most significant benefits of teeth whitening is the positive impact on your confidence and self-esteem. A bright, white smile can make you feel more attractive and self-assured, which can influence your interactions with others. Feeling good about your appearance can boost your overall well-being and make you more comfortable in social and professional settings. People who are confident in their smiles tend to smile more often, creating a positive impression and improving their relationships. Teeth whitening can be a simple yet effective way to enhance your self-image and boost your confidence.
Improving Oral Health

While teeth whitening is primarily a cosmetic procedure, it can also contribute to improved oral health. The process often includes a professional teeth cleaning, which removes plaque and tartar, reducing the risk of gum disease and cavities. Maintaining good oral hygiene habits after teeth whitening, such as regular brushing, flossing, and dental check-ups, is essential for long-term oral health. A brighter smile can also motivate you to take better care of your teeth and gums, leading to a healthier mouth overall. Proper oral care not only maintains your bright smile but also contributes to your overall well-being.
Maintaining Your Bright Smile
To maintain your bright smile after teeth whitening, it’s crucial to follow a few key tips. Avoiding staining foods and drinks, such as coffee, tea, red wine, and dark-colored berries, can help prevent discoloration. Practicing good oral hygiene habits, including brushing twice a day, flossing daily, and using a whitening toothpaste, can keep your teeth bright. Regular dental check-ups and cleanings are essential for removing any surface stains and maintaining your results. You may also consider touch-up treatments to further enhance your results. By following these practices, you can enjoy your bright, confident smile for years to come. Consistent maintenance is key to preventing future staining.
Tips for Long-Lasting Results
To ensure your teeth whitening results last, several lifestyle choices and oral hygiene practices are crucial. Avoiding staining foods and drinks, practicing good oral hygiene, and considering touch-up treatments can help maintain your bright smile. These tips will help you preserve the effects of your teeth whitening treatment and keep your smile radiant for an extended period. Following these guidelines will help maximize the longevity of your investment and boost your confidence.
Dietary Considerations
Your diet plays a significant role in the longevity of your teeth whitening results. Certain foods and drinks can stain your teeth and diminish the effects of the treatment. Minimize or avoid consuming staining foods and drinks, such as coffee, tea, red wine, dark-colored berries, and soy sauce. If you consume these items, do so in moderation and rinse your mouth with water afterward. Consider using a straw to minimize contact with your teeth. Eating a diet rich in calcium and other nutrients also supports your overall oral health. By making conscious dietary choices, you can maintain a bright, healthy smile.
Oral Hygiene Practices
Proper oral hygiene practices are essential for maintaining your teeth whitening results. Brush your teeth at least twice a day with a whitening toothpaste to remove surface stains. Floss daily to remove plaque and food particles from between your teeth. Consider using an oral irrigator to clean hard-to-reach areas. Regular dental check-ups and cleanings are crucial for maintaining your bright smile. Your dentist can identify and address any potential issues, ensuring your oral health and the longevity of your whitening results. By practicing diligent oral hygiene, you’ll enjoy a bright, healthy smile for years to come.
