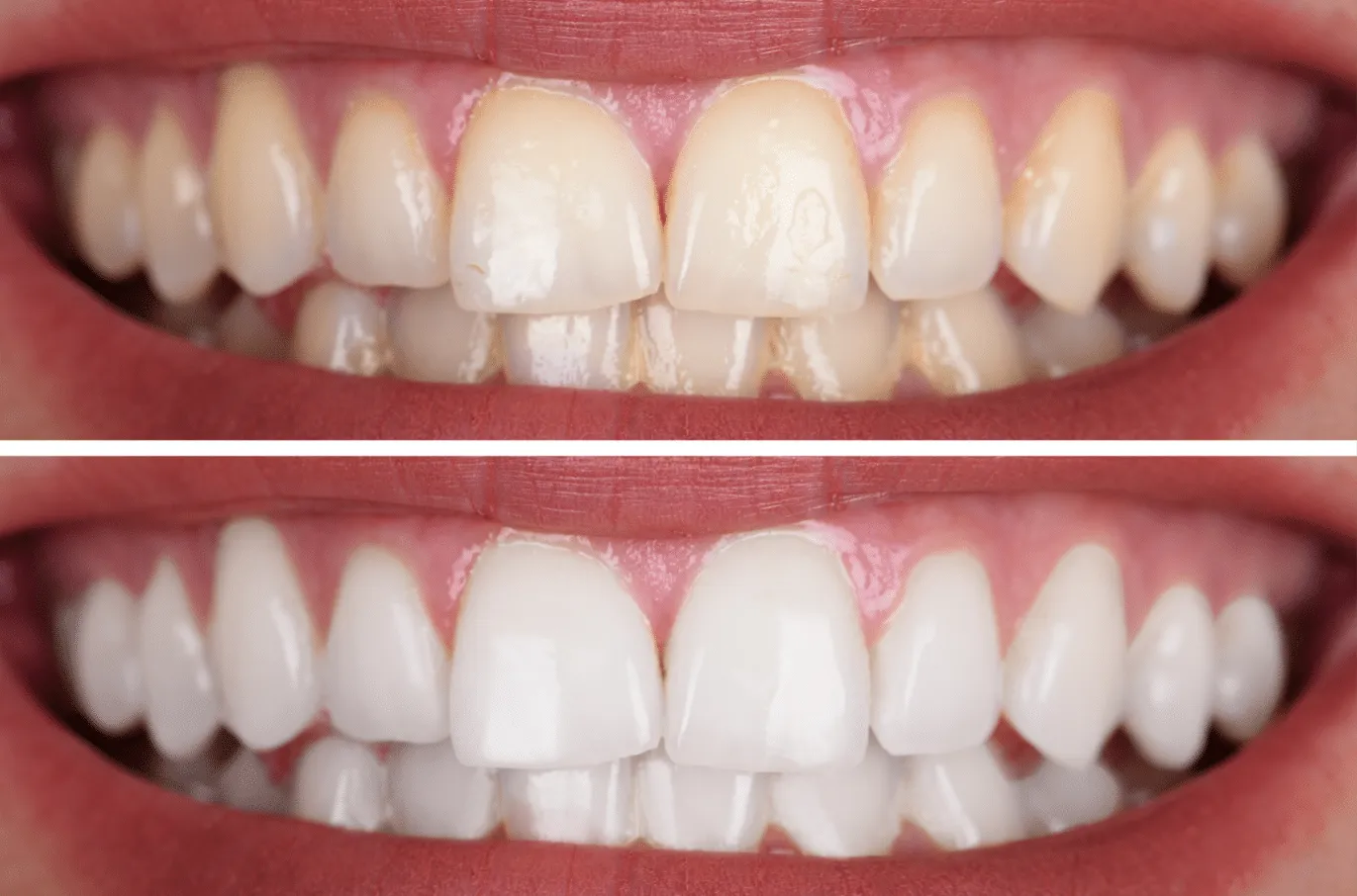
What is Comfort Dental Teeth Whitening
Comfort Dental offers teeth whitening services designed to brighten and enhance your smile. Teeth whitening is a popular cosmetic dental procedure that aims to remove stains and discoloration from your teeth, resulting in a noticeably whiter and more radiant smile. Discoloration can be caused by a variety of factors, including aging, genetics, the consumption of staining foods and beverages (like coffee, tea, and red wine), and tobacco use. Comfort Dental utilizes professional-grade whitening treatments that are more effective than over-the-counter options, providing a safe and efficient way to achieve a brighter smile. Whether you’re preparing for a special event or simply looking to boost your confidence, Comfort Dental’s teeth whitening services can help you achieve your desired results.
Types of Teeth Whitening at Comfort Dental
Comfort Dental provides different teeth whitening options tailored to meet individual needs and preferences. These options typically include both in-office whitening and at-home treatments, allowing patients to choose the method that best suits their lifestyle and desired level of convenience. The choice between these methods often depends on factors such as the severity of the discoloration, the patient’s time constraints, and their budget. In-office whitening offers immediate results, while at-home treatments provide a more gradual but potentially more affordable approach. During your consultation, the dentist will assess your teeth and discuss the available options to help you make an informed decision.
In-Office Whitening

In-office teeth whitening at Comfort Dental is a fast and effective way to achieve a dramatically whiter smile in just one visit. This procedure involves the application of a high-concentration whitening gel to the teeth, followed by the use of a special light or laser to accelerate the whitening process. The entire procedure typically takes about an hour, and patients can often see a significant improvement in the shade of their teeth immediately. In-office whitening is ideal for those seeking immediate results or who prefer the convenience of a single appointment. It’s performed under the supervision of a dental professional, ensuring both safety and effectiveness.
How it Works
The in-office whitening process at Comfort Dental typically involves several steps. First, a protective barrier is placed on the gums to prevent irritation from the whitening agent. Next, the whitening gel, containing a high concentration of hydrogen peroxide, is applied to the surface of the teeth. A special light or laser is then used to activate the gel, enhancing its whitening power. This process may be repeated several times during the appointment to achieve the desired level of brightness. After the treatment, the teeth are rinsed, and the results are immediately visible. The dentist will provide post-treatment instructions to help maintain the results.
Benefits
In-office teeth whitening offers several benefits, including immediate results and professional supervision. The most significant advantage is the rapid transformation; patients can walk out of the office with a noticeably whiter smile in about an hour. The treatment is administered by a trained dental professional, ensuring safety and minimizing the risk of potential side effects. In-office whitening is also ideal for those with busy schedules who want a quick and efficient way to brighten their teeth. The high-concentration whitening gel used in the procedure is generally more effective than at-home options, providing a superior level of whitening power.
At-Home Whitening Options

Comfort Dental offers at-home teeth whitening options, providing patients with a convenient and cost-effective way to whiten their teeth in the comfort of their own homes. These options typically include custom-fitted trays and professional-strength whitening gels. The dentist will take impressions of your teeth to create custom trays that fit perfectly, ensuring the whitening gel makes even contact with the teeth. At-home whitening is a gradual process, with noticeable results typically appearing within a few weeks. This approach allows patients to whiten their teeth at their own pace and offers greater flexibility compared to in-office treatments. Before starting the at-home whitening process, it is essential to consult with a dentist to ensure the method is appropriate for your specific needs.
Custom Trays vs. Strips
When it comes to at-home teeth whitening, two primary methods are often available: custom trays and whitening strips. Custom trays, provided by Comfort Dental, are designed to fit your mouth perfectly, ensuring even distribution of the whitening gel. This results in more effective whitening and minimizes the risk of gel leakage and gum irritation. Whitening strips, which can be purchased over-the-counter, are thin, flexible strips coated with a whitening agent. While convenient, strips may not provide the same level of effectiveness as custom trays, especially for individuals with uneven teeth or significant staining. The choice between these methods often depends on individual needs, the desired results, and budget considerations. Custom trays are generally recommended for their superior efficacy and personalized fit.
Whitening Toothpaste
Whitening toothpaste is another option for maintaining a brighter smile. While these toothpastes cannot change the intrinsic color of your teeth in the same way that professional whitening treatments can, they can help remove surface stains caused by food and beverages. Whitening toothpastes typically contain mild abrasives or chemical agents that gently polish the teeth, removing stains and promoting a brighter appearance. They are a good option for daily maintenance but should not be considered a primary whitening method for significant discoloration. It’s important to choose a whitening toothpaste with a low abrasiveness level to avoid damaging enamel. Consistent use of whitening toothpaste, coupled with regular dental check-ups, can contribute to a healthier and brighter smile over time.
The 5 Facts You Need to Know About Comfort Dental Teeth Whitening

Fact 1 Effectiveness
Comfort Dental teeth whitening is highly effective in brightening your smile. The results can vary based on the type of whitening used and the severity of the stains. In-office whitening can provide immediate and dramatic results, often lightening teeth several shades in a single session. At-home whitening, while more gradual, can also achieve significant improvement over a few weeks. The professional-grade whitening agents used by Comfort Dental are more potent than over-the-counter options, leading to superior results. Individual results depend on factors such as the initial tooth shade, the type and severity of stains, and how well the patient follows the dentist’s instructions.
Fact 2 Cost
The cost of Comfort Dental teeth whitening varies depending on the chosen method. In-office whitening tends to be more expensive due to the professional services and specialized equipment involved. At-home whitening options, such as custom trays and whitening gels, are generally more cost-effective. Comfort Dental often provides detailed pricing information during the initial consultation, allowing patients to understand the financial implications of their choices. It is important to consider that the long-term benefits of teeth whitening, such as improved self-esteem and a brighter smile, often outweigh the initial investment. Payment plans and financing options may also be available to make teeth whitening more accessible.
Fact 3 Sensitivity

Teeth sensitivity is a common side effect of teeth whitening, including treatments offered by Comfort Dental. The whitening agents can temporarily make teeth more sensitive to hot or cold temperatures. The level of sensitivity varies from person to person. Comfort Dental takes precautions to minimize sensitivity. These include using desensitizing agents before and after the whitening process and offering specific recommendations for sensitive teeth. If you experience sensitivity, over-the-counter pain relievers and special toothpastes designed for sensitive teeth can help. Sensitivity typically subsides within a few days after the treatment. It is essential to discuss your sensitivity concerns with your dentist before undergoing the procedure.
Fact 4 Results
The results of Comfort Dental teeth whitening can vary depending on the individual and the type of treatment. In-office whitening often provides the most dramatic and immediate results, with teeth appearing several shades lighter after just one session. At-home whitening offers more gradual results over a few weeks. The longevity of the results also varies. With proper maintenance, including regular brushing, flossing, and avoiding staining foods and beverages, the effects of teeth whitening can last for several months to a few years. Periodic touch-up treatments may be necessary to maintain the desired level of brightness. Regular dental check-ups and cleanings help preserve the results.
Fact 5 Maintenance
Maintaining the results of Comfort Dental teeth whitening requires diligence. Avoid or minimize the consumption of staining foods and beverages such as coffee, tea, red wine, and dark berries. Practice good oral hygiene, including brushing your teeth twice a day, flossing daily, and using mouthwash. Consider using a whitening toothpaste to help remove surface stains. Regular dental check-ups and cleanings are crucial for maintaining a healthy and bright smile. Your dentist may recommend periodic touch-up treatments to keep your teeth looking their best. By following these maintenance tips, you can enjoy your brighter smile for an extended period.
Is Comfort Dental Teeth Whitening Right for You?

Teeth whitening at Comfort Dental is suitable for many individuals looking to enhance their smile. Ideal candidates are those with healthy teeth and gums and who are experiencing discoloration due to aging, staining foods and drinks, or other factors. However, teeth whitening may not be suitable for everyone. Pregnant or breastfeeding women and individuals with certain dental conditions, such as severe tooth decay or gum disease, should consult their dentist before considering teeth whitening. A comprehensive dental examination and consultation with a Comfort Dental professional will help determine whether teeth whitening is the right choice for your specific situation and expectations.
Considerations Before Whitening
Before undergoing teeth whitening at Comfort Dental, there are several considerations to keep in mind. It’s essential to have a thorough dental examination to ensure that your teeth and gums are healthy. Whitening treatments do not work on existing dental work, such as fillings, crowns, and veneers, and these restorations will not change color. If you have these restorations, you may need to replace them to match your newly whitened teeth. You should also be aware of the potential for increased tooth sensitivity, which is a common side effect. Discuss your expectations and concerns with your dentist to make an informed decision. It’s also crucial to follow all post-treatment instructions to ensure the best results.
Alternatives to Teeth Whitening
If teeth whitening isn’t the right choice, Comfort Dental offers other cosmetic dental procedures to improve your smile. Dental veneers are a popular alternative for individuals with significant discoloration or imperfections. Veneers are thin, custom-made shells that are bonded to the front of the teeth, creating a brighter and more even appearance. Dental bonding is another option, which involves applying a tooth-colored composite resin to repair chips, cracks, or discoloration. Dental implants and crowns can also enhance the appearance of your smile by replacing missing or damaged teeth. Your dentist will assess your needs and suggest the most suitable treatment options.
Conclusion
Comfort Dental teeth whitening offers a range of options to help you achieve a brighter, more confident smile. From in-office treatments to at-home kits, there’s a solution to suit your needs and budget. By understanding the different types of whitening procedures, their effectiveness, and potential side effects, you can make an informed decision about whether teeth whitening is right for you. Consult with a Comfort Dental professional to discuss your goals and receive personalized recommendations. With the right care and maintenance, you can enjoy a radiant smile for years to come. Remember to prioritize regular dental check-ups and follow your dentist’s advice for optimal oral health.
