Can Teeth Whitening Be Used on Crowns Overview
The question of whether teeth whitening can be used on crowns is a common one for individuals seeking a brighter smile. Crowns, also known as dental caps, are used to restore damaged or decayed teeth. While teeth whitening is an effective method for lightening the shade of natural teeth, its application to crowns is more complex. Understanding the limitations and alternatives is essential for anyone considering cosmetic dental treatments. This article will explore the interaction between teeth whitening and crowns, detailing the types of crowns, whitening options, and alternative solutions to achieve the desired aesthetic outcome. The goal is to provide a clear, comprehensive guide to help you make informed decisions about your dental care.
The Problem Crowns and Whitening
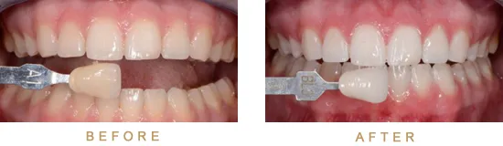
The fundamental issue with whitening crowns is that they don’t respond to traditional teeth whitening treatments the way natural teeth do. Teeth whitening products work by penetrating the enamel and dentin of natural teeth to break down stain molecules. Crowns, on the other hand, are typically made from materials like porcelain or ceramic that are stain-resistant but not porous enough for the whitening agents to effectively penetrate. This means that the whitening process will not alter the color of the crown, potentially leading to a mismatch between the whitened natural teeth and the existing crown. The difference in response necessitates alternative approaches to achieve a uniform and aesthetically pleasing result.
Why Crowns Don’t Whiten

Crowns are designed to be durable and resistant to staining, which is why they are often chosen for their longevity and aesthetic appeal. Unlike natural teeth, which have microscopic pores that allow whitening agents to work, crowns do not have the same structure. The materials used in crowns, such as porcelain and ceramic, are non-porous and therefore do not absorb the whitening agents. The surface of a crown is also designed to be smooth and non-reactive, which prevents the chemicals in whitening products from breaking down the stain molecules. For this reason, applying whitening treatments directly to a crown will have minimal, if any, effect, making it essential to explore alternative solutions to match the shade of the crown with the whitened natural teeth.
Types of Crowns and Their Materials
The materials used in crowns vary, each with distinct properties that impact their reaction to whitening treatments. Knowing the type of crown you have is crucial in determining the best course of action. Understanding the composition of your crowns can guide decisions about the best cosmetic options for your situation. Common materials include porcelain, metal alloys, and ceramic, each presenting unique characteristics in terms of appearance, durability, and compatibility with other dental procedures. The materials significantly influence how the crown appears, its longevity, and its reaction to external factors like staining and whitening attempts.
Porcelain Crowns
Porcelain crowns are popular because they closely mimic the appearance of natural teeth, providing excellent aesthetics. They are made from a type of ceramic that is strong, durable, and resistant to staining. However, because porcelain is a solid material, it does not respond to teeth whitening treatments. The whitening agents cannot penetrate the surface, making any attempts to lighten the shade of a porcelain crown ineffective. While they offer a natural look, porcelain crowns cannot be whitened, necessitating a replacement or other cosmetic procedures to match the color of whitened natural teeth. When natural teeth are whitened, a porcelain crown will remain its original shade, creating a visible color difference.
Metal Crowns

Metal crowns, often made from gold or other metal alloys, are incredibly durable and are often used on molars where strength is paramount. These crowns are not susceptible to staining but also cannot be whitened. The composition of metal prevents any change in color from whitening agents. While metal crowns are strong and long-lasting, their metallic appearance might not match the aesthetic goals of a brighter smile. If the goal is to improve the overall appearance of your teeth, the metal crowns, while functional, can stand out against whitened natural teeth. The best solutions include replacement with a more aesthetically pleasing crown material or other cosmetic treatments.
Ceramic Crowns
Ceramic crowns, like porcelain crowns, are valued for their natural look. They offer a great aesthetic result, often used in areas where appearance is important. Although ceramic crowns are stain-resistant, they do not whiten with standard whitening treatments. Similar to porcelain, the non-porous nature of ceramic prevents the penetration of whitening agents. The end result is that the crown’s color remains unchanged while the surrounding natural teeth can get lighter. This disparity underscores the need to consider alternatives like replacement or veneers to ensure a consistent, pleasing smile. The best approach is often to discuss options with a dentist, considering the overall aesthetic and long-term maintenance.
Whitening Options For Natural Teeth
While crowns cannot be whitened, the natural teeth surrounding them can. Several options are available for lightening the shade of your natural teeth, offering flexibility in terms of cost, convenience, and effectiveness. Professional whitening treatments in a dental office provide immediate results, whereas at-home kits offer a more gradual approach. The choice depends on your specific needs and preferences. The ultimate goal is to brighten the natural teeth, potentially creating a need for adjustments to the color of the crowns to match. Understanding the various whitening choices is critical in the context of having crowns. It ensures you achieve the overall aesthetic goal for your smile.
Professional Whitening Treatments

Professional teeth whitening, performed by a dentist, is a highly effective method for achieving significant results in a short period. These treatments often involve a higher concentration of whitening agents, such as hydrogen peroxide, which are applied directly to the teeth. The dentist will protect your gums and use specialized lights or lasers to accelerate the whitening process. One of the key benefits of professional whitening is that it can lighten teeth several shades in a single session. This option is ideal for those seeking immediate results and those who have stubborn stains that are difficult to remove with at-home methods. The dentist can also monitor the process and adjust the treatment as needed to minimize sensitivity. While professional whitening does not affect crowns, it offers the most effective way to brighten natural teeth.
At-Home Whitening Kits
At-home whitening kits provide a more convenient and cost-effective option for brightening your smile. These kits typically include custom-fitted trays and whitening gels, which you use at home according to the dentist’s instructions. At-home kits use lower concentrations of whitening agents compared to professional treatments, resulting in a more gradual lightening of the teeth. The process typically takes several weeks to achieve the desired results, but it allows you to whiten your teeth on your schedule. It’s essential to follow the instructions carefully and consult your dentist before starting any at-home whitening treatment. Although at-home kits will not whiten crowns, they are a great way to brighten natural teeth, potentially creating a need to address the color of the crowns for a cohesive look.
Alternatives to Teeth Whitening for Crowns
Since teeth whitening cannot change the color of crowns, alternative solutions are necessary to achieve a uniform and aesthetically pleasing result. Depending on your specific needs and the condition of your crowns, options include crown replacement, veneers, or other cosmetic procedures. These alternatives focus on matching the crown’s color to the new shade of your whitened natural teeth. Consult with your dentist to explore the best options for your smile transformation. A thorough assessment will help determine the ideal approach. This can lead to the best results. The alternatives ensure that any color discrepancies between crowns and natural teeth are resolved.
Crown Replacement

Replacing your existing crowns is a direct way to address any color mismatches. If your natural teeth are significantly whitened, the original crown may appear darker in comparison. In this case, the dentist can remove the old crown and replace it with a new one that matches the new shade of your teeth. This is a straightforward solution for ensuring that your smile looks consistent and harmonious. Your dentist will take impressions of your teeth and design a new crown with a shade that blends seamlessly with your whitened natural teeth. Although this solution can be more costly, it provides a long-lasting aesthetic improvement. It ensures a cohesive, attractive smile and provides the optimal results.
Veneers
Veneers are thin, custom-made shells that are bonded to the front surface of teeth. If your crown is in good condition but doesn’t match your whitened teeth, veneers can be an excellent alternative. By placing veneers on the adjacent natural teeth, a dentist can create a consistent and bright smile. Veneers are fabricated from porcelain or composite resin to match the desired shade. This approach can be less invasive than crown replacement. It allows you to achieve a beautiful smile without replacing your existing crown. Veneers are an effective way to harmonize the appearance of your smile. They provide an aesthetically pleasing outcome. They can resolve any color discrepancies. They will help create a consistent, beautiful smile.
Maintaining Your Crowns and Smile
Maintaining your crowns and overall oral health is crucial for long-term results and a healthy smile. Proper oral hygiene, regular dental checkups, and avoiding staining foods and drinks are essential to preserve the appearance and longevity of your crowns and natural teeth. Consistent care prevents stains and ensures your crowns remain in excellent condition. These practices will help maintain a bright, healthy smile for years. By following these guidelines, you can optimize the lifespan of your dental work and maintain a beautiful smile.
Proper Oral Hygiene

Practicing proper oral hygiene is the foundation of maintaining healthy teeth and gums. This includes brushing your teeth twice daily with fluoride toothpaste, flossing daily to remove plaque and food particles, and using an antibacterial mouthwash. When cleaning around your crowns, use a soft-bristled toothbrush to avoid scratching the crown’s surface and causing damage. By maintaining excellent oral hygiene, you reduce the risk of gum disease. This preserves your crowns and keeps your natural teeth in optimal condition. Consistent and thorough care ensures that your smile remains healthy and bright.
Regular Dental Checkups
Regular dental checkups and professional cleanings are essential for monitoring the health of your teeth and crowns. During these visits, your dentist will examine your crowns for any signs of damage, wear, or decay. The hygienist will clean your teeth, removing plaque and tartar buildup that can lead to staining and gum disease. Regular checkups allow your dentist to address any issues early, preventing potential problems. They maintain the overall health and appearance of your smile. Following professional dental advice guarantees the longevity of your dental work. It ensures your oral health.
Avoiding Staining Foods and Drinks
Certain foods and drinks can stain your natural teeth and potentially affect the appearance of your crowns. To maintain a bright smile, it’s advisable to limit or avoid consuming these items. Common culprits include coffee, tea, red wine, dark-colored sodas, and foods with strong pigments, such as berries and curries. If you consume these items, rinse your mouth with water or brush your teeth soon after to minimize staining. Avoiding these foods and drinks supports the longevity of your crowns and maintains the brightness of your natural teeth. You should also know that crowns are resistant to staining. However, good habits can help maintain the overall aesthetics of your smile.
Top 5 Facts about Teeth Whitening and Crowns

In summary, here are the top 5 facts to remember regarding teeth whitening and crowns:
Crowns cannot be whitened using traditional whitening treatments. Porcelain, metal, and ceramic crowns do not respond to teeth whitening agents. Natural teeth can be whitened with professional or at-home treatments. Alternatives like crown replacement or veneers are needed for color matching. Maintaining good oral hygiene and regular dental checkups is essential.
