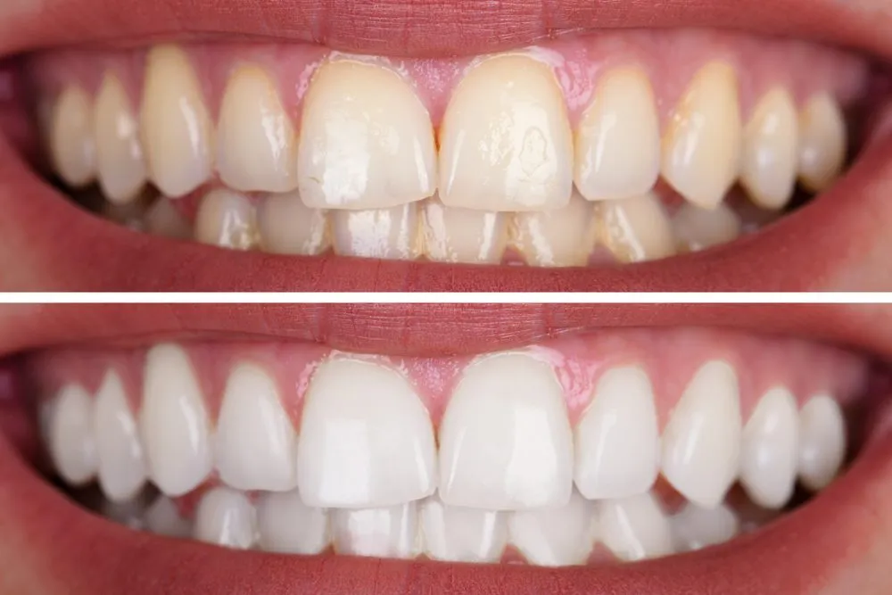
Teeth Whitening Facts You Need to Know
A bright, white smile is often seen as a sign of health, youth, and beauty. Teeth whitening, a popular cosmetic dental procedure, can significantly enhance your smile’s appearance. However, it’s crucial to understand the facts before undergoing any whitening treatment. This guide provides essential information about teeth whitening, including how it works, the different types of treatments available, and important considerations before you start. From understanding the science behind the process to knowing the maintenance required, this article is designed to equip you with all the necessary information to make an informed decision about teeth whitening.
The Science Behind Teeth Whitening
Teeth whitening works by using bleaching agents to break down stains and discoloration on the surface of your teeth. These stains can be caused by various factors such as coffee, tea, wine, tobacco use, and the natural aging process. The active ingredient in most whitening products is typically hydrogen peroxide or carbamide peroxide, which penetrates the enamel to oxidize the stain molecules. This oxidation process lightens the color of the teeth, resulting in a brighter smile. The effectiveness of whitening depends on the concentration of the bleaching agent, the duration of the treatment, and the nature of the stains.
How Whitening Agents Work

The whitening agents, hydrogen peroxide or carbamide peroxide, release oxygen radicals that break the bonds of the stain molecules, effectively removing them. When these oxygen radicals come into contact with the stain molecules, they oxidize them. This chemical reaction breaks down the stain molecules, making them less visible and, thus, lightening the tooth’s appearance. The concentration of the whitening agent and the duration of its contact with the teeth directly influence the effectiveness of the whitening process. Higher concentrations and longer exposure times can lead to greater whitening, but also increase the risk of side effects like tooth sensitivity.
Types of Teeth Whitening
There are several options for teeth whitening, ranging from professional in-office treatments to over-the-counter products. The choice of treatment depends on your budget, the severity of the discoloration, and your personal preferences. Each method has its own set of advantages and disadvantages. Professional treatments offer the most dramatic and immediate results, while at-home options are more convenient and cost-effective. Understanding the different types of teeth whitening helps you choose the best option for your needs and achieve a brighter, more confident smile. Selecting the right method is essential to avoid disappointment and get the best possible outcome.
In-Office Whitening
In-office whitening, performed by a dentist, is the most effective and fastest way to whiten teeth. The dentist applies a high-concentration bleaching agent to your teeth, often with a special light or laser to accelerate the whitening process. The procedure typically takes about an hour and can significantly lighten your teeth in a single visit. In-office whitening offers immediate and dramatic results, perfect for those seeking quick and noticeable improvements. Before the treatment, the dentist usually cleans your teeth and protects your gums to minimize sensitivity. The dentist can also monitor the process and adjust the treatment as needed to achieve optimal results.
At-Home Whitening

At-home whitening involves using custom-fitted trays or strips provided by your dentist or purchased over-the-counter. Custom trays, made by your dentist, provide a more precise fit and better contact with the whitening agent. Over-the-counter options, like whitening strips, are convenient and readily available. These methods typically use lower concentrations of bleaching agents and require several applications over a few weeks to achieve the desired results. While at-home whitening is less expensive and more convenient than in-office treatments, it may take longer to see results, and the whitening may not be as dramatic. It is essential to follow the instructions carefully to avoid any adverse effects.
Important Facts Before Teeth Whitening
Before undergoing teeth whitening, several factors must be considered to ensure the best results and minimize potential risks. It’s crucial to consult with your dentist to assess your oral health and determine if you are a suitable candidate for whitening. Having realistic expectations and understanding the potential side effects are also essential steps. Making informed decisions helps you achieve a brighter smile safely and effectively. This phase also prepares you for the maintenance and aftercare required to preserve the results of your whitening procedure. Doing proper research ensures the procedure aligns with your overall dental health goals.
Consult Your Dentist
Consulting your dentist is the first and most critical step before teeth whitening. Your dentist will examine your teeth and gums to ensure you have no underlying dental issues like cavities or gum disease. Whitening treatments may not be effective or appropriate for everyone, particularly those with existing dental problems. The dentist can also advise you on the most suitable whitening method based on your oral health and the severity of the discoloration. Professional advice is critical to avoid complications and achieve the best possible outcome. Dentists can also recommend specific products and provide guidance to prevent sensitivity during the process.
Realistic Expectations

It is important to have realistic expectations about the results of teeth whitening. While whitening can significantly improve the appearance of your smile, it may not eliminate all stains or achieve a perfectly white shade. The final shade of your teeth depends on factors like the type and severity of the stains, your natural tooth color, and the whitening method used. It is important to understand that teeth whitening is not a permanent solution. Results will fade over time, and periodic touch-up treatments may be required. Setting realistic expectations prevents disappointment and ensures you are satisfied with the outcome. Your dentist can help you understand the expected outcomes based on your specific situation.
Potential Risks & Side Effects
Teeth whitening, although generally safe, can have some potential side effects. The most common side effect is tooth sensitivity, which can range from mild to moderate and usually subsides within a few days after the treatment. Gum irritation is another potential side effect, especially if the whitening agent comes into contact with the gums. In rare cases, whitening can cause other issues, such as uneven whitening or changes to existing dental work. Before undergoing teeth whitening, it is essential to discuss these potential risks with your dentist. Taking precautions can help reduce the risk of side effects and ensure a comfortable experience.
Maintenance & Aftercare
Proper maintenance and aftercare are crucial to maintaining the results of teeth whitening. Following your dentist’s instructions helps prolong the effects of the treatment and keeps your smile bright. This includes dietary adjustments and lifestyle changes to minimize stains and discoloration. Regular dental checkups are also essential for monitoring your oral health and addressing any potential issues. By adhering to these practices, you can enjoy a long-lasting, radiant smile and avoid the need for frequent whitening treatments. Remember, a healthy oral hygiene routine is essential for maintaining your smile’s brightness.
Diet and Lifestyle

Your diet and lifestyle significantly impact the longevity of your teeth whitening results. Certain foods and drinks, such as coffee, tea, red wine, and berries, can stain your teeth. Limiting the consumption of these items can help prevent discoloration. Smoking and tobacco use can also stain your teeth, so quitting smoking is beneficial for both your oral health and the appearance of your smile. Practicing good oral hygiene, including brushing and flossing regularly, further minimizes stains and keeps your teeth bright. Being mindful of what you eat and drink and adopting healthy habits protects your investment in teeth whitening and maintains a beautiful smile.
Regular Dental Checkups
Regular dental checkups and cleanings are essential for maintaining the results of teeth whitening and overall oral health. During these appointments, your dentist can remove any surface stains and plaque that may be contributing to discoloration. They can also monitor your teeth for any new stains or dental problems. Regular checkups allow your dentist to provide guidance on maintaining your bright smile and recommend touch-up whitening treatments when necessary. Routine dental care is crucial in preventing dental issues and preserving your teeth’s appearance. Your dentist can offer tailored advice to preserve your whitening results.
Alternatives to Teeth Whitening
While teeth whitening is an excellent option for many, it is not always the best solution for everyone. In some cases, alternative cosmetic dental procedures may be more appropriate for achieving your desired smile. These alternatives can address more complex issues, such as severe discoloration, structural imperfections, or misalignment. Discussing these options with your dentist helps you find the most suitable treatment for your specific needs and ensures the best possible outcome. These alternatives can offer long-term solutions that go beyond surface-level whitening and transform your smile completely.
Veneers

Veneers are thin, custom-made shells that cover the front surface of your teeth, changing their shape, size, and color. They are made from porcelain or composite resin and are designed to match the natural appearance of your teeth. Veneers are an excellent option for those with severe discoloration, chips, cracks, or gaps in their teeth. Unlike teeth whitening, veneers can also correct minor imperfections and provide a more comprehensive smile makeover. Veneers provide a permanent solution to various aesthetic dental issues, offering a durable and natural-looking result. The procedure typically involves minimal tooth preparation and can significantly improve your smile’s appearance.
Bonding
Dental bonding involves applying a tooth-colored resin to the surface of your teeth to repair chips, cracks, or discoloration. The resin is then shaped, hardened with a special light, and polished to match the surrounding teeth. Bonding is a less expensive and less invasive alternative to veneers and is suitable for minor cosmetic issues. While bonding can improve the appearance of your smile, it is not as durable or stain-resistant as veneers. Bonding is a good option for those who need quick and affordable cosmetic enhancements. The procedure can often be completed in a single visit, making it convenient for those with busy schedules.
In conclusion, teeth whitening is an effective way to brighten your smile and boost your confidence. However, it’s essential to be well-informed about the process, the different types of treatments, and the necessary aftercare. Consulting with your dentist, understanding your expectations, and taking proper care of your teeth will help you achieve and maintain a beautiful, white smile. Whether you choose in-office whitening, at-home treatments, or explore alternative options like veneers or bonding, a brighter smile is within reach. Make sure to choose the best method based on your personal circumstances and dental goals.
