Teeth whitening has become a popular cosmetic procedure, promising a brighter, more confident smile. However, it’s essential to understand that not all teeth whitening experiences are positive. Several mistakes can lead to undesirable outcomes, including gum damage, tooth sensitivity, and even enamel erosion. This article will explore the top five mistakes people make when whitening their teeth and, more importantly, how to avoid them. Understanding these pitfalls can help you achieve a brighter smile without compromising your oral health. Remember, a beautiful smile should always be a healthy smile.
Top 5 Teeth Whitening Mistakes and How to Avoid Them
Avoiding these common mistakes is crucial for a successful teeth-whitening experience. It’s not just about achieving a brighter smile; it’s also about protecting your oral health from potential harm. By being aware of these pitfalls, you can significantly reduce the risk of complications and ensure your smile stays healthy and beautiful for years to come. Consider these points carefully before starting any teeth whitening treatment.
Using Too Much Whitening Product
One of the most common mistakes is using an excessive amount of whitening product. More product does not equate to better results; in fact, it can significantly increase the risk of side effects. Whitening products contain chemicals that can irritate your gums and teeth if used improperly. Overusing these products can lead to a range of issues, from mild sensitivity to severe gum damage, including the dreaded “bleached gums” appearance. Always adhere to the product’s recommended usage guidelines to protect your oral health.
Overuse of Whitening Strips

Whitening strips, a popular at-home solution, can be misused. Leaving the strips on for longer than recommended or using them more frequently than advised can lead to severe gum irritation and sensitivity. The concentrated bleaching agents in the strips can easily come into contact with your gums, causing them to turn white or become inflamed. Always read and strictly follow the instructions provided with the whitening strips to minimize the risk of damage. If you experience any discomfort, discontinue use immediately and consult your dentist.
Overuse of Whitening Gels
Whitening gels, often applied using trays, are also prone to overuse. Many people believe that more gel will lead to faster results, but this is rarely the case. Excessive gel can overflow the trays, coming into direct contact with your gums and causing irritation. This can lead to gum bleaching, pain, and increased tooth sensitivity. Always use the prescribed amount and ensure the trays fit properly to avoid any spillage. Regularly monitoring your gums for any signs of irritation is essential when using whitening gels.
Ignoring Product Instructions
Every teeth whitening product comes with specific instructions designed to ensure safe and effective use. Ignoring these instructions is a frequent mistake that can lead to various complications. Manufacturers provide detailed guidelines on application time, frequency, and the amount of product to use. Deviating from these instructions can result in overexposure to the whitening agents, increasing the risk of side effects such as gum irritation and tooth sensitivity. Always read and follow the instructions carefully to maximize your safety.
Not Following Application Guidelines

Application guidelines are as important as the usage instructions. Failing to apply the product correctly can lead to uneven whitening or, worse, damage to your gums. For example, with whitening strips, ensuring they are properly aligned along your teeth and avoiding contact with your gums is crucial. Incorrect application can result in the bleaching agent coming into contact with your gums, leading to irritation. With tray-based systems, ensuring the trays fit snugly and that the gel doesn’t overflow is vital. Pay close attention to the application steps to avoid unwanted side effects.
Failing to Protect Your Gums
Protecting your gums during teeth whitening is paramount. Many products come with or recommend the use of tools to shield your gums from the bleaching agents. Not using these tools or methods is a common mistake that can result in gum irritation and bleaching. Using a barrier like petroleum jelly or a special gum protector can help shield your gums from direct contact with the whitening agents. This is especially important with higher-concentration products or when using them for extended periods. Always prioritize protecting your gums to ensure a comfortable and safe whitening experience.
Using Whitening Products with High Concentrations
Using products with high concentrations of bleaching agents, such as hydrogen peroxide or carbamide peroxide, can increase the risk of side effects. While these products may promise faster results, they can also cause significant gum irritation and tooth sensitivity. If you’re using a product with a high concentration, it’s crucial to follow the instructions precisely and consider consulting with a dentist. They can assess your oral health and recommend a safe and effective whitening plan. The higher the concentration, the greater the risk of adverse effects.
Applying Whitening Products Incorrectly

Incorrect application of whitening products is a significant mistake that can lead to uneven whitening or even damage to your gums and teeth. Whether using strips, gels, or other methods, following the application instructions precisely is critical. For example, when using strips, make sure they are properly aligned on your teeth, avoiding contact with your gums. With tray-based systems, ensure the trays fit snugly and that the gel doesn’t overflow. This ensures that the whitening agent works on the teeth and not on the sensitive gum tissue. Always read the product instructions carefully and apply the product as directed to maximize effectiveness and minimize risks.
Not Consulting a Dentist
One of the biggest mistakes is not consulting with a dentist before starting a teeth-whitening treatment. A dentist can assess your oral health, identify any potential issues like cavities or gum disease, and recommend the most appropriate whitening method for your specific needs. They can also advise on the concentration of the whitening agent and how to apply it safely. Without this professional guidance, you risk exacerbating existing oral health problems or causing new ones. Consulting a dentist is a crucial step in ensuring a safe and effective teeth-whitening experience.
Consequences of Teeth Whitening Mistakes
Making mistakes during teeth whitening can lead to several unpleasant consequences, impacting both your oral health and your smile’s appearance. These side effects can range from mild discomfort to more serious issues. Understanding these potential problems is crucial for making informed decisions about teeth whitening and protecting your oral health.
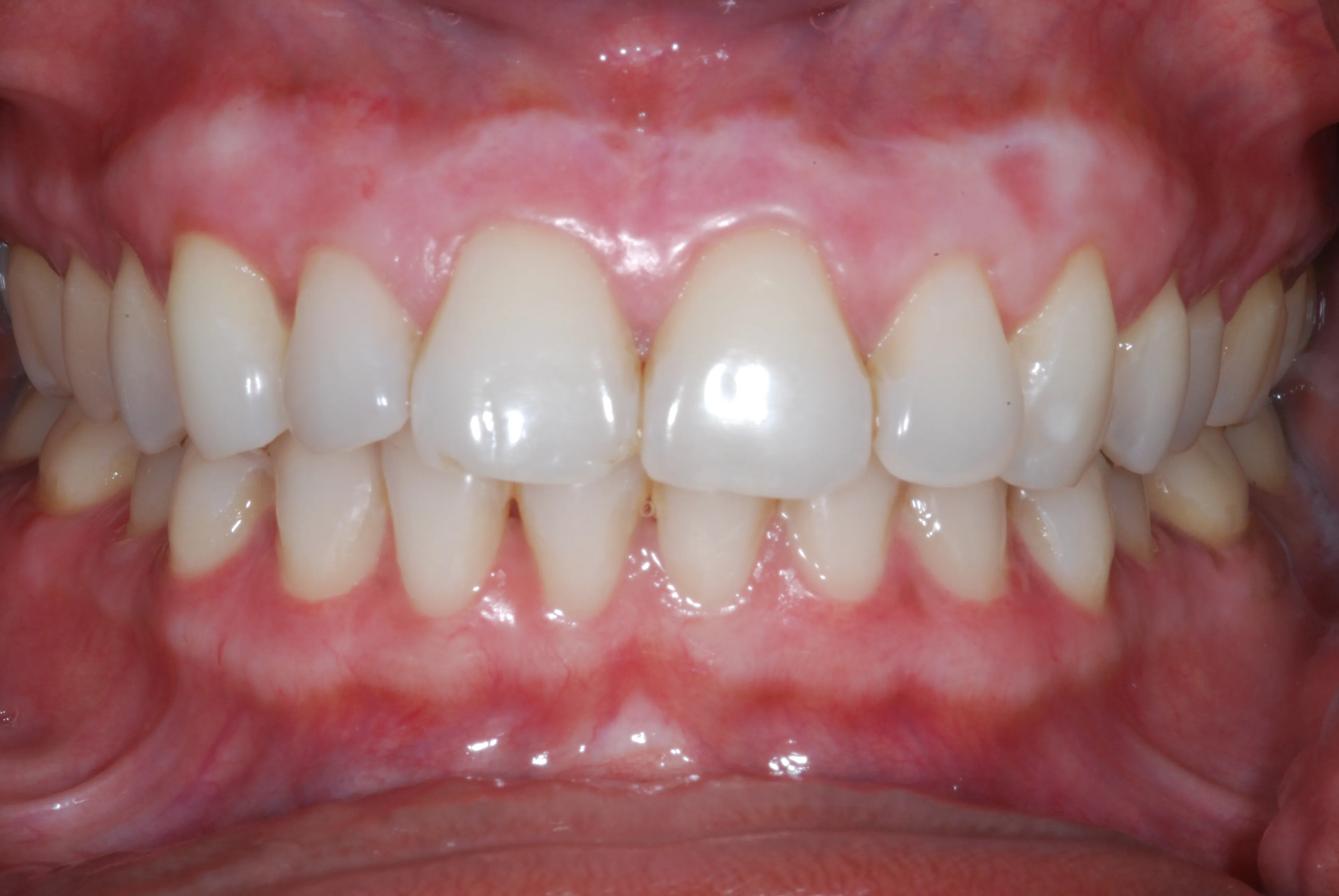
Gum Irritation and Bleaching

One of the most common consequences of improper teeth whitening is gum irritation and bleaching. The chemicals in whitening products, particularly if used incorrectly or in high concentrations, can come into contact with your gums, causing irritation and a white, blanched appearance. This is often temporary, but it can be painful and uncomfortable. In severe cases, it can lead to inflammation and even damage to the gum tissue. Proper application and protection of your gums are vital to avoid this issue.
Tooth Sensitivity
Tooth sensitivity is another frequent side effect. The whitening process can make your teeth more sensitive to hot and cold temperatures. This sensitivity typically subsides once you stop the whitening treatment, but it can be quite uncomfortable during the process. Using a toothpaste designed for sensitive teeth and avoiding extremely hot or cold foods and drinks can help manage this symptom. Overuse of whitening products or the use of products with high concentrations can increase the intensity and duration of tooth sensitivity.
Enamel Damage
In rare cases, improper teeth whitening can lead to enamel damage. Overuse or misuse of whitening products can erode the enamel, the protective outer layer of your teeth. This can lead to increased sensitivity, a higher risk of cavities, and a duller appearance to your teeth. Once enamel is damaged, it does not grow back, so it is crucial to take care to avoid enamel damage during teeth whitening. Following the product instructions and consulting a dentist can minimize this risk and help you keep your teeth healthy.
Alternatives to Teeth Whitening

If you’re concerned about the risks of teeth whitening, or if you experience any adverse side effects, several alternative options can help improve the appearance of your smile. These methods offer different approaches to teeth enhancement, each with its own benefits and considerations.
Professional Teeth Whitening
Professional teeth whitening, performed by a dentist, is often the safest and most effective option. Dentists can use stronger whitening agents than those available over-the-counter, and they can also monitor your teeth and gums for any signs of problems. They will also take necessary precautions to protect your gums during the procedure. Professional whitening can provide dramatic results in a short amount of time, but it is more expensive. Consulting with a dentist is the best way to determine if this option is right for you.
Other Teeth Whitening Options
Besides professional treatments, other options can help brighten your smile. Whitening toothpastes and mouthwashes containing mild abrasives and whitening agents can help remove surface stains. Over-the-counter whitening strips and trays are also available, offering a more affordable alternative. Regular dental cleanings can also remove stains and improve your teeth’s appearance. The best option depends on your individual needs, your oral health, and your budget. Talking to your dentist can help you determine which of these solutions is best for you.
How to Care for Your Teeth After Whitening

Proper aftercare is essential for maintaining your bright smile and protecting your oral health after teeth whitening. This involves simple but effective habits that will help you enjoy the results of your whitening treatment for a longer period. Remember that your teeth are more susceptible to staining immediately after whitening, so it’s crucial to follow these guidelines to prevent discoloration and maintain a healthy smile.
Following these guidelines can help you minimize the risks associated with teeth whitening and maintain a healthy, beautiful smile. Always prioritize your oral health and seek professional guidance when necessary. Teeth whitening, when done correctly, can significantly enhance your confidence and appearance.
