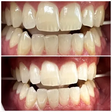
Understanding Teeth Whitening in Johns Creek GA
Teeth whitening is a popular cosmetic dental procedure in Johns Creek, GA, designed to brighten and enhance the appearance of your smile. This process involves removing stains and discoloration from the surface of your teeth, leading to a more confident and radiant look. Whether you’re dealing with the effects of aging, dietary habits, or other factors, teeth whitening offers a viable solution to rejuvenate your smile. The effectiveness of the procedure depends on the type of whitening method, the severity of the discoloration, and individual factors such as oral health. Understanding the available options and tips is important before making a decision.
Why Choose Teeth Whitening?
The decision to pursue teeth whitening in Johns Creek, GA, is often driven by a desire to improve one’s overall appearance and self-esteem. A brighter smile can have a significant impact on your social and professional interactions, boosting your confidence and leaving a positive impression on others. Beyond the aesthetic benefits, teeth whitening can also motivate you to take better care of your teeth, reinforcing good oral hygiene habits. The process can be quick and relatively painless, making it an accessible option for many individuals seeking a cosmetic enhancement. Numerous factors can contribute to teeth discoloration, from genetics to lifestyle choices, making teeth whitening a versatile solution for a variety of needs.
Benefits of a Bright Smile

A bright smile does more than just enhance your physical appearance it can have a profound impact on your mental and social well-being. Studies have shown a direct link between a person’s smile and their level of confidence, with brighter smiles leading to increased self-assurance. Smiling more can improve your mood and help you connect with others in a more meaningful way. In social settings, a bright smile can make you appear more approachable and friendly, fostering better relationships. Furthermore, it can contribute to a more youthful appearance, which is often associated with health and vitality. With all these advantages, it is clear that teeth whitening can be a beneficial procedure.
Types of Teeth Whitening Options
When exploring teeth whitening in Johns Creek, GA, it’s essential to be aware of the variety of options available. These options range from professional treatments at your dentist’s office to at-home kits. Professional treatments often involve stronger bleaching agents, which can yield faster and more dramatic results. At-home kits provide greater flexibility and are a more budget-friendly option, however, they may require more time to achieve the desired level of whitening. Both types come with different strengths and benefits, making it crucial to understand each type before making a choice. Always consult with a dentist to determine which method aligns best with your oral health needs and aesthetic goals.
Professional Whitening vs. At-Home Kits
The choice between professional teeth whitening and at-home kits depends on your specific needs and expectations. Professional whitening, performed by a dentist, typically involves the use of high-concentration bleaching agents and specialized equipment. This method often delivers quicker and more effective results, especially for stubborn stains. On the other hand, at-home kits offer greater convenience and are generally more affordable. These kits include custom-fitted trays with lower-concentration bleaching gels, which need to be used consistently for a set duration. Both methods have their advantages, with the best choice depending on factors like the severity of discoloration, time constraints, and budget. Consulting with a dentist can help you make an informed decision.
Johns Creek GA Whitening Procedures

Teeth whitening procedures in Johns Creek, GA, can vary depending on the chosen method. Professional whitening often starts with a thorough cleaning and assessment of your teeth, followed by the application of a strong bleaching agent to the teeth. The process might include the use of special lights or lasers to accelerate the whitening effect. For at-home kits, your dentist can provide custom-fitted trays and instructions. The procedure typically involves filling the trays with a bleaching gel and wearing them for a specified period each day. Regardless of the method, it’s crucial to follow your dentist’s instructions carefully to achieve the best results and minimize any potential side effects.
Top 5 Teeth Whitening Tips for Johns Creek GA
Tip 1 Consult a Dentist
Before undergoing any teeth whitening procedure in Johns Creek, GA, it’s imperative to consult with a qualified dentist. This consultation allows the dentist to assess your oral health, identify any underlying issues, and determine the most suitable whitening method for your teeth. The dentist can also provide personalized recommendations based on the level of staining, sensitivity, and your expectations. A professional evaluation helps to ensure the safety and effectiveness of the treatment, and it reduces the risk of complications. Consulting a dentist is a fundamental step towards achieving the best possible results.
Importance of Professional Consultation

A professional consultation with a dentist is critical for several reasons. Dentists can evaluate your current oral health, including checking for cavities, gum disease, or other problems that could be exacerbated by whitening treatments. They can also advise you on whether you are a good candidate for whitening and recommend the most appropriate method. Furthermore, a professional consultation helps to set realistic expectations and minimize the risk of potential side effects. The dentist can address any questions you have and provide customized advice to help you achieve a brighter, healthier smile. This consultation guarantees a safer and more successful teeth whitening experience.
Tip 2 Choose the Right Whitening Method
Selecting the appropriate teeth whitening method is a crucial step toward achieving your desired results. In Johns Creek, GA, you can choose from several options, including in-office whitening, take-home kits, and over-the-counter products. In-office whitening often provides the most dramatic results in a short amount of time, using stronger bleaching agents under professional supervision. Take-home kits offer a more flexible and convenient option, allowing you to whiten your teeth at your own pace. Over-the-counter products are typically less expensive but might not be as effective. Your choice should be influenced by factors like your budget, the degree of staining, and your sensitivity levels. It is best to discuss these options with your dentist to determine the most effective and safe solution for your needs.
Selecting the Best Option for You
Choosing the right teeth whitening option involves considering various factors. Start by evaluating the extent and type of staining on your teeth. For severe discoloration, in-office whitening might be the most effective choice. Consider your budget and available time, as professional treatments typically cost more and require office visits, while at-home kits provide greater flexibility. If you have sensitive teeth, consult with your dentist about products designed for sensitivity. Read reviews and research the different brands and methods available to ensure you are selecting a safe and reliable option. A personalized recommendation from your dentist is often the best way to make the right choice.
Tip 3 Maintain Oral Hygiene

Proper oral hygiene is essential for maintaining a bright smile and maximizing the results of your teeth whitening procedure. Regular brushing, flossing, and the use of mouthwash help to remove plaque, food particles, and surface stains. Brushing your teeth twice daily with fluoride toothpaste is highly recommended, as it helps to strengthen enamel and prevent cavities. Flossing daily removes plaque and debris from between your teeth and along the gumline, where your toothbrush can’t reach. Mouthwash can further reduce bacteria and freshen your breath. Consistency in oral hygiene practices is fundamental to keeping your teeth healthy and looking their best.
Proper Brushing and Flossing Techniques
Proper brushing and flossing techniques are fundamental to excellent oral hygiene. When brushing, use a soft-bristled toothbrush and brush gently in a circular motion, covering all surfaces of your teeth. Ensure you brush for at least two minutes each time. Flossing should be performed daily to remove food particles and plaque from between your teeth, where a toothbrush cannot reach. Use about 18 inches of floss, and gently guide it between each tooth, moving it up and down against the sides of each tooth. Taking time to brush and floss the right way can significantly reduce the risk of cavities, gum disease, and staining, contributing to a brighter smile. It’s always a good idea to ask your dentist to demonstrate the correct techniques.
Tip 4 Avoid Staining Foods and Drinks
To preserve the results of your teeth whitening in Johns Creek, GA, it is important to be mindful of foods and drinks that can stain your teeth. Certain foods and beverages contain pigments that can adhere to the enamel, leading to discoloration over time. Reducing or avoiding these items can help maintain your brighter smile. Regular consumption of these items can undo some of the effects of teeth whitening, which makes it necessary to monitor your diet to preserve the results. You can also opt to brush your teeth or rinse your mouth immediately after consuming these staining agents to help limit their impact. The level of commitment will vary, but minimizing these items will always help.
Foods and Drinks to Limit

Several foods and drinks are notorious for staining teeth and should be consumed in moderation or avoided altogether. Coffee, tea, and red wine are common culprits, as they contain dark pigments that can easily stain enamel. Foods like berries, soy sauce, and balsamic vinegar can also contribute to staining. For the best results, consider substituting these items with lighter-colored alternatives, such as herbal teas, white wine, and clear sodas. If you do consume staining foods or drinks, brush your teeth or rinse your mouth afterward. Making some changes to your diet will provide longer lasting whitening results.
Tip 5 Schedule Regular Check-ups
Regular dental check-ups are crucial for maintaining a bright and healthy smile, particularly after teeth whitening. These check-ups enable your dentist in Johns Creek, GA, to monitor your oral health, identify any potential problems, and provide professional cleaning to remove surface stains. During check-ups, your dentist can also assess the effectiveness of your whitening treatment and make recommendations for maintaining your results. Regular visits help ensure that any issues are addressed quickly, preventing more serious problems from developing. Consistent dental care is an essential investment in your long-term oral health and the longevity of your brighter smile.
Importance of Dental Check-ups
Dental check-ups are vital to keep your teeth healthy and prevent issues. During a check-up, your dentist will examine your teeth and gums for cavities, gum disease, and other potential problems. Professional cleanings remove plaque and tartar that regular brushing and flossing can’t eliminate. These cleanings help prevent cavities and gum disease. Regular check-ups also allow the dentist to monitor the effectiveness of your whitening treatment and make recommendations for maintaining your brighter smile. Regular dental check-ups are a small investment that delivers significant returns in oral health and a confident smile.
Maintaining Your Results & Aftercare

Maintaining the results of your teeth whitening in Johns Creek, GA, involves a combination of good oral hygiene and consistent care. Following your dentist’s recommendations is crucial. This often includes avoiding staining foods and drinks, maintaining a consistent brushing and flossing routine, and attending regular dental check-ups and cleanings. You can also consider using at-home touch-up treatments to maintain your results. By incorporating these practices into your daily routine, you can enjoy a brighter, more confident smile for the long term. Prioritizing aftercare is necessary.
Post-Whitening Care Tips
Following a teeth whitening procedure, there are several aftercare tips that can help you protect your newly whitened smile. Avoid foods and drinks that can cause staining, such as coffee, tea, and red wine, especially in the first few days. Maintain your regular oral hygiene routine, brushing twice a day with fluoride toothpaste and flossing daily. Use a straw to drink staining beverages to minimize contact with your teeth. If you experience any sensitivity, consult your dentist for recommendations on desensitizing toothpaste or other treatments. Regular dental check-ups and cleanings will help maintain the results of your whitening treatment and keep your smile healthy and bright.
How to Keep Your Teeth Bright Long Term
Maintaining a bright smile over the long term requires ongoing effort and dedication. Continue to practice good oral hygiene by brushing, flossing, and using mouthwash regularly. Minimize your consumption of staining foods and drinks, and consider using a whitening toothpaste or mouthwash as a part of your routine. Schedule regular dental check-ups and professional cleanings to maintain your results. If your teeth begin to darken over time, you can discuss touch-up whitening treatments with your dentist. Taking a proactive approach to oral care is key to enjoying a bright, confident smile for years to come.
