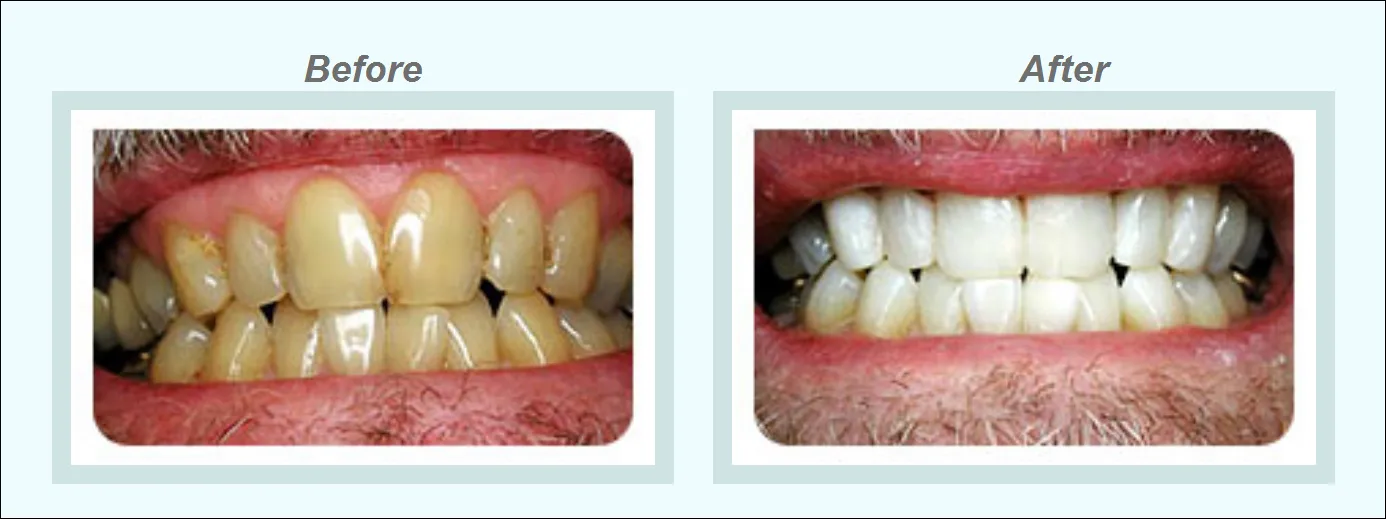
The Science of Overnight Teeth Whitening
Teeth whitening overnight has become a popular choice for those seeking a brighter smile without extensive dental procedures. Understanding the science behind this process can help you make informed decisions and achieve the best results. Several factors come into play when you decide to undergo this method, from the chemical reactions to the way it affects your teeth. This fact based guide breaks down key factors that go into overnight teeth whitening, and will give you a better understanding of how you can make your smile brighter.
How Whitening Works on Your Teeth
The primary goal of teeth whitening is to break down the stains and discoloration that have accumulated on the enamel, the outer layer of your teeth. Whitening agents, such as hydrogen peroxide or carbamide peroxide, are used to achieve this. These chemicals penetrate the enamel and react with the stain molecules, breaking them down into smaller, less visible components. The effectiveness of this process depends on the concentration of the whitening agent, the contact time, and the specific type of stains present on your teeth. It’s important to note that teeth whitening only works on natural teeth and is not effective on dental work like fillings, crowns, or veneers.
Ingredients and their impact

The effectiveness of teeth whitening is largely determined by the active ingredients in the whitening products. The most common active ingredients are hydrogen peroxide and carbamide peroxide. Hydrogen peroxide is a strong oxidizing agent that breaks down stain molecules directly, while carbamide peroxide breaks down into hydrogen peroxide and urea. Urea acts as a moisturizing agent. The concentration of these ingredients affects the speed and intensity of the whitening effect. Higher concentrations can produce faster results but may also increase the risk of sensitivity. Different products contain varied concentrations of these key ingredients. Always follow product guidelines to ensure you’re safely using the product.
Fact 1 Effective Ingredients
Effective teeth whitening products rely on specific active ingredients to achieve their results. The two most prominent ingredients used in these methods are hydrogen peroxide and carbamide peroxide. These compounds are used as the core active components and they have the properties needed to break down stains on teeth. Knowing the roles they play and what they do is an important step in understanding the process of teeth whitening.
Hydrogen Peroxide’s Role
Hydrogen peroxide acts as a bleaching agent, oxidizing the stain molecules within the enamel. This process breaks down the complex stain compounds into simpler, colorless ones, leading to a brighter appearance of the teeth. The concentration of hydrogen peroxide in whitening products varies. Higher concentrations may lead to faster whitening, but it’s crucial to follow the product instructions and consult with a dentist to avoid potential side effects such as tooth sensitivity or gum irritation. The concentration of the compound plays a key role in its effectiveness.
Carbamide Peroxide Benefits

Carbamide peroxide is another effective whitening agent. When it comes in contact with water, it breaks down into hydrogen peroxide and urea. The hydrogen peroxide then provides the bleaching action, while urea acts as a moisturizing agent, helping to reduce the risk of tooth sensitivity. Carbamide peroxide is often used in lower concentrations compared to hydrogen peroxide, making it a gentler option for overnight whitening. It’s an option that provides similar results with a slightly different method of action, with the urea element working to keep your teeth and mouth hydrated.
Fact 2 Time is a Factor
The duration for which you wear a teeth whitening product overnight can greatly influence the outcome. Following recommended guidelines is crucial for both effectiveness and safety. While overnight whitening can produce noticeable results, exceeding the recommended time can lead to increased sensitivity or other adverse effects. Understanding the role time plays helps you to make choices that are appropriate for your situation. The correct duration is the key to your success.
How Long is Recommended
Most overnight teeth whitening products are designed to be used for a specific duration, usually ranging from a few hours to overnight, as indicated in the product instructions. The recommended time varies depending on the concentration of the whitening agent, the type of product (strips, trays, etc.), and the sensitivity of your teeth. Following the manufacturer’s guidelines is essential. Do not extend the usage time, as it may not necessarily improve the whitening effect and could increase the risk of side effects. Be sure to read all instructions before beginning your whitening treatment.
Maximizing Whitening Time

While it’s important to adhere to the recommended usage time, there are ways to maximize the effectiveness of your overnight teeth whitening treatment. Ensure your teeth are clean before applying the product, as removing any surface debris can help the whitening agent penetrate more effectively. Consistent use is key. Following the recommended schedule over several nights will yield better results than a single application. Avoid consuming staining foods or drinks, such as coffee, tea, and red wine, immediately after your treatment to maintain your results. Maintaining a good dental hygiene regimen will ensure better results.
Fact 3 The Right Method
Choosing the right method for overnight teeth whitening is crucial for achieving optimal results and minimizing potential risks. Several options are available, each with its own advantages and considerations. This section breaks down two of the most popular methods — whitening strips and whitening trays — helping you determine which approach best suits your needs and preferences.
Whitening Strips
Whitening strips are a convenient and easy-to-use option for overnight teeth whitening. These thin, flexible strips are coated with a whitening agent, typically hydrogen peroxide or carbamide peroxide. They are applied directly to the teeth, following the contours for optimal contact. Whitening strips are readily available over-the-counter and are generally less expensive than custom-fitted trays. However, it’s important to use them as directed and be aware that they might not provide uniform whitening, particularly if your teeth are severely stained or if you have uneven tooth surfaces. They are an easy option that may be preferred for those with a simpler whitening need.
Whitening Trays

Whitening trays offer a more customized approach to teeth whitening. These trays are either custom-made by a dentist or are available as pre-filled or moldable options. Custom trays provide a more precise fit, ensuring the whitening agent comes into contact with the entire surface of the teeth. With custom trays, you apply the whitening gel into the tray and wear it overnight. This method typically yields more uniform and effective results compared to strips. While trays may be more expensive and require more initial effort, they are a good option for people who want a better overall result. If you are having any doubts, seek help from a dental professional.
Fact 4 Potential Side Effects
While teeth whitening can dramatically improve the appearance of your smile, it’s important to be aware of the potential side effects. The most common side effects include tooth sensitivity and gum irritation. Understanding these risks and taking appropriate precautions can help you minimize discomfort and ensure a safe and effective whitening experience. The side effects can vary depending on the product used and the individual. Make sure you are using a product that is appropriate for you. Consult with a dentist if you have any doubts.
Sensitivity Concerns
Tooth sensitivity is a frequent side effect of teeth whitening, particularly with higher concentrations of whitening agents. The bleaching agents can penetrate the enamel and reach the dentin, which contains the tubules that connect to the nerve endings, causing temporary sensitivity. You can mitigate this by using products with lower concentrations, using toothpaste designed for sensitive teeth, or taking breaks between whitening treatments. Sensitivity typically subsides within a few days after stopping the treatment. If you experience severe or prolonged sensitivity, consult your dentist.
Gum Irritation

Gum irritation is another potential side effect, often caused by the whitening agent coming into contact with the gum tissue. This can result in redness, swelling, and discomfort. To prevent gum irritation, be careful to apply whitening products only to your teeth and avoid any contact with your gums. Using custom-fitted trays can help minimize gum contact. If you experience irritation, discontinue use of the product and consult your dentist. Rinsing your mouth with water and avoiding abrasive brushing can also help soothe irritated gums.
Fact 5 Maintaining Results
Maintaining the results of your teeth whitening treatment requires a combination of lifestyle choices and regular dental care. Once you have achieved your desired level of whiteness, taking proactive steps to prevent staining and discoloration will help you enjoy a brighter smile for a longer period. This section covers the key aspects of maintaining your results, from dietary habits to regular dental check-ups. It will help you ensure your teeth stay white for the longest time possible.
Lifestyle Choices
Your lifestyle choices can significantly impact the longevity of your teeth whitening results. Limit your consumption of staining foods and drinks, such as coffee, tea, red wine, and dark-colored berries. If you do consume these items, rinse your mouth with water immediately afterward or brush your teeth to minimize staining. Avoid smoking and other tobacco products, as they can cause significant discoloration. Practicing good oral hygiene, including brushing twice a day and flossing daily, is crucial for maintaining a healthy and bright smile. Small changes in your lifestyle can make a big difference.
Regular Dental Check-ups

Regular dental check-ups and professional cleanings are essential for maintaining your teeth whitening results. During your check-up, your dentist can remove any surface stains that have accumulated and assess your oral health. Professional cleanings can also help to polish your teeth, making them appear brighter. Your dentist can also provide touch-up whitening treatments if needed. Following your dentist’s recommendations for oral hygiene and maintenance will help you keep your smile looking its best. Regular check-ups will also allow a dentist to catch issues before they become bigger, so don’t skip your appointments.
