Teeth Whitening vs Veneers Understanding the Basics
Choosing between teeth whitening and veneers can be a significant decision in your journey towards a brighter, more confident smile. Both procedures aim to enhance the appearance of your teeth, but they achieve this through different methods and are suitable for different situations. This article will delve into the specifics of each treatment, comparing their benefits, drawbacks, costs, and suitability, empowering you to make an informed decision about which option best aligns with your dental goals and overall oral health. Understanding the fundamental differences between teeth whitening and veneers is the first step in determining the optimal path to a dazzling smile.
Teeth Whitening Explained
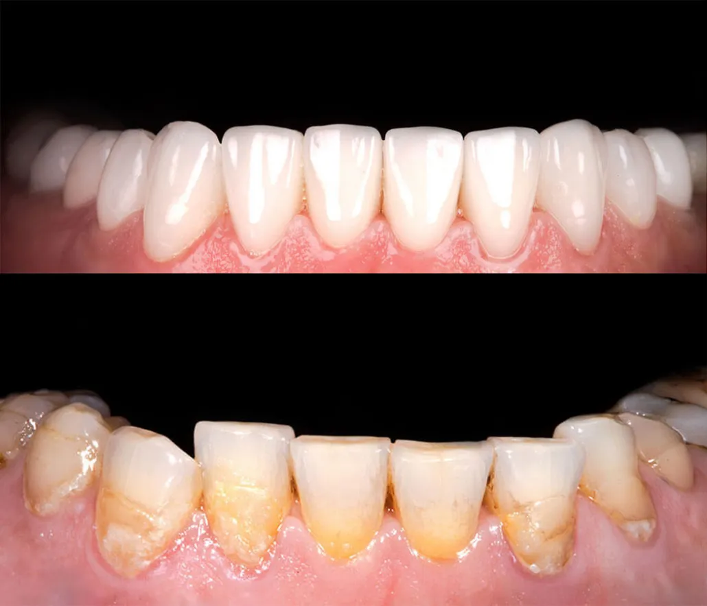
Teeth whitening, also known as bleaching, is a popular cosmetic dental procedure designed to lighten the shade of your teeth. This process works by using bleaching agents, typically containing hydrogen peroxide or carbamide peroxide, to break down stains and discoloration within the enamel. Teeth whitening is a non-invasive procedure that can significantly improve your smile by removing stains caused by coffee, tea, tobacco, and aging. There are several types of teeth whitening treatments available, ranging from over-the-counter options to professional treatments performed by a dentist.
Types of Teeth Whitening Procedures

There are several ways to whiten your teeth. The most common are professional teeth whitening performed by a dentist, at-home whitening kits, and over-the-counter products. Professional whitening offers the most dramatic results, using stronger bleaching agents and often involving in-office treatments coupled with custom-fitted trays for at-home maintenance. At-home kits, prescribed by a dentist, offer a balance of effectiveness and convenience. Over-the-counter products, such as whitening strips and toothpastes, are the most accessible but generally provide milder results and may not be suitable for all types of stains. Each type of treatment has different levels of effectiveness and cost.
The Whitening Process
The teeth whitening process varies depending on the chosen method. Professional whitening typically involves the dentist applying a high-concentration bleaching agent to your teeth, followed by the use of a special light to accelerate the whitening process. This can be completed in a single office visit. At-home whitening kits involve custom trays filled with a lower concentration of bleaching agent, worn for a specified period daily. Over-the-counter products involve applying strips or using whitening toothpaste as directed. Regardless of the method, the goal is to penetrate the enamel and break down stain molecules, resulting in a brighter and whiter smile. It is essential to follow the instructions carefully to ensure the best results and minimize potential side effects.
Pros and Cons of Teeth Whitening
Teeth whitening offers several advantages, including a relatively low cost, non-invasiveness, and quick results. It is an excellent option for addressing surface stains and discoloration, improving your smile quickly and effectively. However, teeth whitening is not a permanent solution, and results can fade over time, requiring maintenance treatments. It may also cause temporary tooth sensitivity. Whitening is also less effective on certain types of stains, such as those caused by tetracycline, and it does not change the color of existing dental work such as crowns or fillings. Therefore, understanding the limitations and potential side effects is important before choosing teeth whitening.
Veneers Explained

Veneers are thin, custom-made shells, typically crafted from porcelain or composite resin, that are bonded to the front surface of your teeth. They are a more comprehensive cosmetic solution than teeth whitening, designed to address a broader range of dental imperfections, including stains, chips, cracks, gaps, and minor misalignments. Veneers offer a durable and aesthetically pleasing solution, transforming your smile by creating a more uniform and attractive appearance. The process of getting veneers involves preparing the teeth, taking impressions, and bonding the veneers in place, resulting in a lasting enhancement to your smile.
Types of Veneers
There are two main types of veneers porcelain and composite veneers. Porcelain veneers are highly durable, stain-resistant, and can closely mimic the natural appearance of teeth. They require minimal tooth preparation and offer long-lasting results. Composite veneers are made from a composite resin material, applied directly to the tooth surface and sculpted to the desired shape. They are typically less expensive than porcelain veneers and can be completed in a single visit. However, composite veneers may be less durable and more prone to staining over time compared to porcelain veneers. Your dentist will help you determine the best type of veneer based on your needs and budget.
The Veneer Procedure
The veneer procedure involves several steps. First, your dentist will prepare your teeth by removing a small amount of enamel to make room for the veneers. Impressions of your teeth are then taken and sent to a dental lab, where the custom veneers are fabricated. This process usually takes a couple of weeks. In the meantime, you might be fitted with temporary veneers. Once the veneers are ready, your dentist will bond them to your teeth using a special cement. The dentist will then shape and polish the veneers for a perfect fit and appearance. This process results in a permanent and significant enhancement to your smile.
Pros and Cons of Veneers

Veneers offer numerous advantages, including a dramatically improved smile appearance, stain resistance (especially with porcelain), and the ability to correct a variety of dental imperfections. They are durable and can last for many years with proper care. However, veneers are a more invasive and costly procedure than teeth whitening. The preparation of teeth is irreversible, meaning a small amount of enamel is removed. Veneers may also require replacement over time. Potential downsides include the possibility of chipping or cracking and the need for ongoing maintenance and care. It’s important to consider these factors when deciding whether veneers are the right choice for you.
Teeth Whitening vs Veneers A Detailed Comparison
Cost Comparison
The cost of teeth whitening and veneers varies significantly. Teeth whitening is generally the more affordable option, with over-the-counter products being the least expensive and professional in-office treatments costing more. Veneers are a more significant investment due to the materials used, the complexity of the procedure, and the expertise required. The price of veneers depends on the type of material (porcelain vs. composite) and the number of teeth being treated. It’s essential to discuss the cost with your dentist and explore financing options if needed. In the long run, considering the longevity and benefits of each procedure will help you determine which offers the best value.
Longevity Comparison

The longevity of teeth whitening and veneers differs considerably. Teeth whitening results are not permanent and typically last from several months to a few years, depending on the type of whitening and your lifestyle habits (diet, smoking, etc.). Regular touch-up treatments are often needed to maintain the desired shade. Veneers, on the other hand, can last for many years, often 10 to 15 years or even longer with proper care. The lifespan of veneers depends on factors such as the material used, your oral hygiene, and whether you avoid habits like biting your nails or grinding your teeth. Maintaining regular dental check-ups and practicing good oral hygiene will help extend the life of your veneers.
Effectiveness Comparison
Teeth whitening is most effective for removing surface stains and lightening the natural shade of your teeth. It is excellent for addressing discoloration caused by coffee, tea, and other staining agents. However, it does not address structural issues like chips, cracks, or gaps in your teeth. Veneers are a comprehensive solution that effectively corrects a wide range of dental imperfections, including stains, discoloration, chips, cracks, gaps, and minor misalignments. They can also improve the shape, size, and overall appearance of your teeth. If you have multiple dental issues, veneers provide more dramatic and versatile results than teeth whitening alone.
Maintenance Comparison
The maintenance requirements for teeth whitening and veneers differ. Teeth whitening requires periodic touch-up treatments to maintain the desired results. You may also need to avoid certain foods and drinks that can stain your teeth. Veneers require regular dental check-ups and good oral hygiene practices. It’s important to brush and floss regularly and avoid habits like biting your nails or chewing on hard objects that could damage the veneers. While veneers are stain-resistant, you should still be mindful of consuming excessive amounts of staining foods and drinks. Proper care will help ensure the longevity and beauty of your veneers.
Which Option Is Best for You?

Factors to Consider Before Choosing
Choosing between teeth whitening and veneers depends on your individual needs and goals. Consider the following factors: the severity of your discoloration or dental imperfections, your budget, the desired longevity of the results, and your willingness to undergo a more invasive procedure. If you have only surface stains and are looking for a cost-effective solution, teeth whitening might be the best choice. If you have multiple dental issues, such as chips, cracks, gaps, or severe discoloration, and are seeking a long-term solution, veneers may be more appropriate. Also consider your lifestyle and how well you can maintain your oral health.
Consulting with a Dentist
The best way to determine whether teeth whitening or veneers are right for you is to consult with a dentist. Your dentist can assess your oral health, discuss your goals, and recommend the most appropriate treatment option. They can also evaluate the condition of your teeth and gums, ensuring that you are a good candidate for either procedure. During your consultation, be prepared to discuss your expectations and any concerns you may have. Your dentist will provide a personalized treatment plan that aligns with your needs and helps you achieve your desired smile. A professional consultation ensures you make an informed decision.
Alternatives to Teeth Whitening and Veneers

Besides teeth whitening and veneers, other options can improve the appearance of your teeth. Dental bonding involves applying a tooth-colored resin to the teeth to repair chips, cracks, or gaps. Dental crowns are used to cover and protect damaged or weakened teeth, improving both their function and appearance. Orthodontic treatments, such as braces or clear aligners, can correct misaligned teeth, which can also enhance your smile. The best alternative depends on the specific dental issues you’re addressing. Discussing these options with your dentist helps determine the most appropriate and effective treatment plan.
