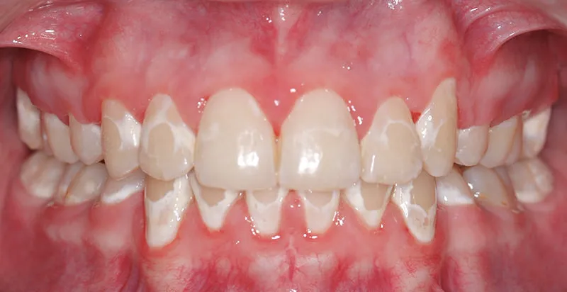
What Causes White Spots After Whitening?
White spots after teeth whitening can be a frustrating cosmetic issue, often leading people to question the efficacy or safety of their chosen whitening method. Understanding the underlying causes of these white spots is crucial to both preventing them and addressing them effectively. These spots, also known as enamel demineralization or hypocalcification, arise from changes in the tooth enamel’s mineral content. Several factors contribute to their development, primarily related to the whitening process itself and the condition of your teeth prior to treatment. The good news is that in many cases, these white spots are temporary and can be minimized or even reversed with proper care and treatment. It’s important to consult with a dental professional to determine the exact cause and the best course of action.
Enamel Demineralization Explained
Enamel demineralization is the primary cause of white spots. This process occurs when the tooth enamel loses minerals, such as calcium and phosphate, leaving behind a porous surface. Whitening agents, such as hydrogen peroxide or carbamide peroxide, used in teeth whitening treatments, can penetrate the enamel. When these agents come into contact with areas of the tooth that are already slightly weaker or more porous, they can exacerbate the mineral loss, leading to the appearance of white spots. The degree of demineralization depends on several factors, including the concentration of the whitening agent, the duration of its contact with the teeth, and the individual’s oral health. Pre-existing conditions, such as subtle enamel imperfections or variations in enamel thickness, can also make certain areas of the teeth more susceptible to demineralization and white spot formation.
Impact of Whitening Agents

The active ingredients in teeth whitening products, primarily hydrogen peroxide or carbamide peroxide, play a significant role in the development of white spots. These agents work by breaking down stains and discoloration molecules within the enamel. However, they can also affect the mineral structure of the enamel itself, particularly in areas where the enamel is already compromised or thinner. The concentration of the whitening agent is a critical factor; stronger solutions used in professional treatments can potentially lead to more pronounced white spots if not applied carefully or used on teeth with pre-existing enamel issues. The duration of exposure to these agents also matters. Overuse or prolonged contact with whitening products, whether at home or in a professional setting, increases the risk of enamel demineralization and the subsequent formation of white spots. The effect of these agents is temporary for most individuals, as the enamel can remineralize over time with proper oral care.
How Whitening Products Work
Teeth whitening products work by penetrating the enamel and breaking down the stain molecules embedded within. The active ingredients, such as hydrogen peroxide, release oxygen radicals that react with these stain molecules, making them less visible and thereby whitening the teeth. However, this process is not without its effects on the enamel structure. The same chemical reaction that breaks down stains can also interact with the minerals in the enamel, leading to temporary demineralization. This demineralization is often localized, affecting areas where the enamel is naturally more porous or has minor imperfections. When these areas lose minerals, they become more reflective of light, resulting in the appearance of white spots. The intensity of these spots varies depending on the concentration of the whitening agent, the length of treatment, and the inherent properties of the individual’s enamel.
Common Causes of White Spots
Besides the direct impact of whitening agents, other factors can contribute to the formation of white spots. These include variations in enamel thickness, pre-existing enamel defects, and conditions like fluorosis. Understanding these causes can help individuals take preventive measures and manage their expectations when considering teeth whitening treatments. In general, any factor that compromises the integrity of the enamel can make it more susceptible to the effects of whitening agents, leading to uneven whitening and the appearance of white spots. Recognizing these underlying conditions is vital for dentists to develop personalized whitening plans that minimize the risk of adverse effects. The causes can be various but the effects are often cosmetic and do not directly harm oral health.
Fluorosis

Fluorosis is a condition caused by excessive fluoride exposure during tooth development, often during childhood. It manifests as white spots or streaks on the enamel surface. These spots can range in severity, from barely noticeable white flecks to more prominent brown or discolored areas. Fluorosis can affect the way teeth react to whitening treatments, with existing spots potentially becoming more noticeable after the enamel is whitened. The underlying reason for fluorosis-related white spots is that excessive fluoride can disrupt the normal enamel formation process, creating a more porous and less mineralized enamel. This porous structure reflects light differently, leading to the characteristic white or mottled appearance. Preventing fluorosis involves careful monitoring of fluoride intake, particularly in children, and following dental professional recommendations.
Poor Oral Hygiene
Poor oral hygiene can also contribute to the development of white spots, whether or not a person undergoes teeth whitening. Inadequate brushing, flossing, and professional cleanings can lead to the accumulation of plaque and tartar. These deposits can erode enamel over time, creating areas of demineralization that appear as white spots. Additionally, poor oral hygiene increases the risk of cavities, which can also manifest as white spots before progressing to more significant decay. The presence of plaque and tartar also makes teeth more susceptible to the effects of whitening agents, increasing the likelihood of uneven whitening and the formation of white spots. Maintaining a consistent and effective oral hygiene routine is therefore essential for both preventing white spots and ensuring overall dental health.
Uneven Whitening
Uneven whitening is a common issue that can lead to the appearance of white spots. This can occur due to variations in enamel thickness, the presence of pre-existing enamel defects, or inconsistent application of whitening products. Areas with thinner enamel or higher porosity tend to absorb whitening agents more quickly, resulting in a brighter appearance than other areas. Similarly, teeth with existing white spots or patches may appear more pronounced after whitening, as the surrounding enamel becomes whiter, highlighting the contrast. To minimize uneven whitening, it is important to follow all instructions carefully, use products as directed, and consider professional treatments that can assess and address individual tooth characteristics. Consult with a dentist to discuss the best approach for achieving a uniform and natural-looking result, especially when planning teeth whitening treatments.
Top 5 Facts About White Spots

Fact 1 Why Do White Spots Appear?
White spots appear after teeth whitening primarily due to localized enamel demineralization. Whitening agents can penetrate the enamel and, in areas where the enamel is slightly weaker or more porous, cause a temporary loss of minerals such as calcium and phosphate. This demineralization makes those areas of the enamel more porous and reflective, resulting in the appearance of white spots. Several factors can contribute to this, including variations in enamel thickness, pre-existing enamel defects, or the presence of fluorosis. The concentration and duration of exposure to whitening agents also play a significant role. While these spots can be concerning, they are often temporary and can be addressed through various treatments or by allowing the enamel to remineralize naturally.
Fact 2 Are White Spots Permanent?
In most cases, white spots from teeth whitening are not permanent. The enamel can remineralize over time, especially with the help of fluoride treatments and good oral hygiene practices. The severity and duration of white spots depend on the degree of enamel demineralization and individual factors such as oral health, genetics, and the specific whitening method used. However, in some instances, particularly if the white spots are related to underlying conditions like fluorosis or significant enamel defects, they may persist or require professional intervention for cosmetic improvement. The ability of the enamel to remineralize makes white spots often temporary; however, consult with a dentist for an accurate assessment.
Fact 3 Can You Prevent White Spots?

Yes, you can take steps to prevent white spots after teeth whitening. One crucial measure is to consult with a dentist before undergoing any whitening treatment. A dentist can assess your oral health, identify any potential risks, and recommend the most suitable whitening method. Using products as directed, avoiding overuse, and practicing good oral hygiene are essential. Brushing with fluoride toothpaste, flossing regularly, and attending regular dental checkups will help maintain healthy enamel and promote remineralization. Furthermore, consider professional whitening treatments to ensure controlled application and minimize the risk of uneven whitening. If you have a history of fluorosis or enamel defects, special precautions might be necessary, like using lower-concentration whitening agents.
Fact 4 How to Treat White Spots
There are several effective treatments available for addressing white spots that may appear after teeth whitening. Depending on the severity and cause of the spots, options range from simple at-home remedies to professional dental procedures. One common approach is to use fluoride treatments, which help to remineralize the enamel and reduce the appearance of white spots. Microabrasion, a process that gently removes a thin layer of enamel, can be effective for superficial spots. Teeth whitening itself can sometimes improve the appearance of white spots, as it evens out the overall color of the teeth. For more prominent or persistent spots, dental veneers or composite bonding may be recommended to cover the affected areas and restore a uniform appearance. It is best to consult with a dentist to determine the most appropriate treatment plan.
Fact 5 When to See a Dentist
It’s important to consult a dentist if you notice white spots after teeth whitening. A dental professional can accurately diagnose the cause of the spots, assess their severity, and recommend appropriate treatment. You should see a dentist if the spots are persistent, causing aesthetic concerns, or if you experience any sensitivity or discomfort. Your dentist can evaluate whether the white spots are due to demineralization, fluorosis, or other underlying issues. They can also provide professional treatments like fluoride applications, microabrasion, or, in more severe cases, restorative procedures like veneers or bonding. Regular dental checkups are key to maintain oral health and address any concerns.
Treatments for White Spots After Whitening

Microabrasion
Microabrasion is a minimally invasive procedure that can effectively treat superficial white spots. This technique involves using a mild abrasive agent, often combined with hydrochloric acid, to gently remove a thin layer of the enamel surface. This helps to blend the appearance of the white spots with the surrounding enamel, creating a more uniform look. Microabrasion is most effective for treating white spots that are shallow and limited to the enamel’s outer layer. The procedure is usually quick, painless, and can be performed in a single dental visit. After microabrasion, a fluoride treatment may be applied to further strengthen the enamel and reduce the risk of future white spots. Microabrasion offers a conservative solution for many individuals seeking to improve their smile aesthetics after teeth whitening.
Teeth Whitening
Ironically, teeth whitening itself can sometimes be a treatment option for white spots. By whitening the surrounding enamel, the contrast between the spots and the rest of the tooth can be reduced, making the spots less noticeable. This is because the whitening process helps to even out the overall shade of the teeth, creating a more uniform appearance. However, this approach is most effective when the white spots are minor and not significantly different in color from the rest of the tooth. In cases where the white spots are prominent or significantly lighter, whitening may not provide a satisfactory solution. Dentists can assess the situation and provide proper recommendations. Whitening might not get rid of them entirely, but can help in some situations.
Dental Veneers

For more severe cases of white spots, or those caused by underlying enamel defects, dental veneers can be an excellent treatment option. Veneers are thin, custom-made shells that are attached to the front surface of the teeth, effectively covering the white spots and creating a perfect, natural-looking smile. Veneers are typically made from porcelain, a strong, durable material that closely resembles the appearance of natural teeth. The procedure involves preparing the tooth surface by removing a small amount of enamel to accommodate the veneer, then taking an impression of the teeth to create the custom-made veneers. Once ready, the veneers are bonded to the teeth using a special adhesive. This is an excellent treatment choice when other less invasive solutions aren’t enough to address the white spots effectively.
Preventing White Spots on Teeth
Proper Brushing Techniques
Proper brushing techniques are a cornerstone of preventing white spots and maintaining overall oral health. Brushing twice daily with fluoride toothpaste is essential for removing plaque and food particles, which can contribute to enamel demineralization. Use a soft-bristled toothbrush to avoid damaging the enamel and gums. Brush in a gentle, circular motion, covering all surfaces of each tooth, and be sure to reach the back teeth and the gum line. Brushing for at least two minutes each time is recommended. Avoid brushing too hard, as this can wear away enamel and cause sensitivity. Consistent and correct brushing helps strengthen enamel and reduces the risk of white spot formation.
Using Fluoride Treatments

Using fluoride treatments is a key strategy in preventing white spots and promoting strong, healthy enamel. Fluoride helps remineralize the enamel by replenishing lost minerals, making teeth more resistant to acid attacks and demineralization. Regular use of fluoride toothpaste is a simple yet effective way to incorporate fluoride into your oral hygiene routine. Additionally, dentists may recommend professional fluoride treatments, such as fluoride varnish or gel, especially for individuals at high risk of developing cavities or white spots. Drinking fluoridated water also provides a consistent source of fluoride. Fluoride treatments are particularly beneficial after teeth whitening, as they help to strengthen the enamel and reduce the potential for white spots to appear.
Regular Dental Checkups
Regular dental checkups are a critical part of preventing white spots and maintaining optimal oral health. During these visits, your dentist can assess your teeth for any early signs of enamel demineralization, cavities, or other issues. They can also provide professional cleaning to remove plaque and tartar, which can contribute to enamel erosion and the formation of white spots. Regular checkups allow dentists to monitor your oral health, identify potential problems early on, and provide timely treatments such as fluoride applications or microabrasion. Your dentist can also offer personalized advice on brushing and flossing techniques, and recommend appropriate oral hygiene products. Following your dentist’s recommendations and attending regular checkups is the best way to prevent white spots and keep your smile healthy.
