What is Zoom Whitening
Zoom Whitening is a popular and effective in-office teeth whitening procedure designed to brighten your smile significantly in a single session. It utilizes a professional-strength bleaching gel activated by a special light. This combination penetrates the enamel and dentin to break down stains and discoloration. The process typically takes about an hour and a half and offers noticeable results, making it a go-to choice for those seeking a quick and dramatic improvement in their smile’s appearance. Unlike over-the-counter whitening options, Zoom Whitening is administered by a dental professional, ensuring safety and efficacy, and providing a higher concentration of whitening agents. The procedure’s efficiency and the immediate impact on tooth brightness make it a preferred option for people looking for a quick cosmetic upgrade. Consider speaking with your dentist to know whether this treatment is right for you.
How Zoom Whitening Works
The science behind Zoom Whitening involves a chemical reaction between the whitening gel and the tooth’s surface. The gel, primarily composed of hydrogen peroxide, breaks down into oxygen molecules that penetrate the enamel and dentin, where stains and discoloration reside. These oxygen molecules then oxidize the stain molecules, effectively breaking them apart and lifting them away from the teeth. The specialized Zoom light accelerates this process, enhancing the gel’s effectiveness. This combination ensures faster and more potent whitening compared to at-home kits. The process is carefully monitored by a dentist to ensure patient safety and minimize any potential side effects such as tooth sensitivity. Understanding the science helps to explain why Zoom Whitening can provide such rapid and significant results. Before going with Zoom Whitening is important to consult with your dentist, they will give you a good insight.
The Zoom Whitening Procedure

Preparation for the Procedure
Before undergoing Zoom Whitening, a thorough dental examination is crucial. Your dentist will assess the health of your teeth and gums, ensuring there are no cavities, gum disease, or other issues that could complicate the procedure. The dentist may recommend a professional cleaning to remove plaque and surface stains, maximizing the whitening gel’s effectiveness. You’ll also discuss your desired outcome and any sensitivity concerns you might have. During the consultation, the dentist will explain the procedure, potential side effects (like temporary sensitivity), and aftercare instructions. This preparation phase is vital for a successful and comfortable Zoom Whitening experience. You will also discuss your expectation and get some relevant information to make the best decision. It’s a step-by-step approach to ensure you will have a beautiful smile.
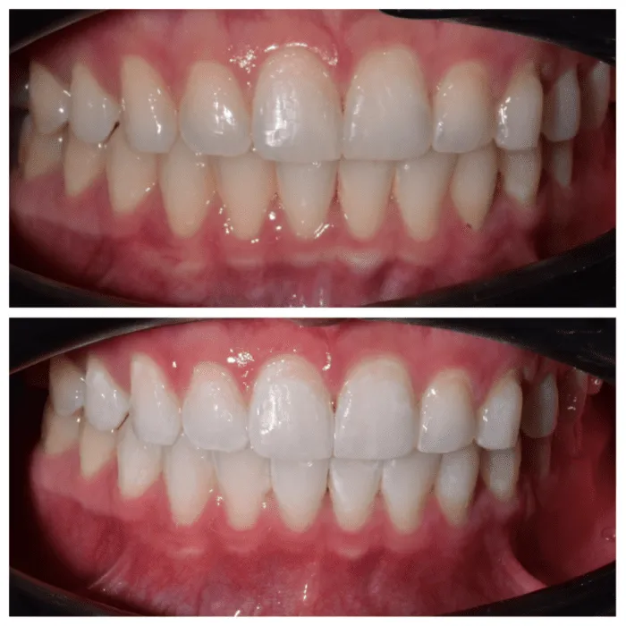
The In-Office Whitening Process
The in-office process begins with isolating your teeth, typically with a cheek retractor and protective coverings for your gums. The dentist will then apply the Zoom whitening gel to the surface of your teeth. The Zoom light is directed at your teeth for about 15 minutes, activating the gel and initiating the whitening process. This process is repeated several times, usually in 15-minute intervals, for a total treatment time of about an hour. Throughout the procedure, your dentist will monitor your progress and ask about any sensitivity you might be experiencing. At the end of the session, the gel is removed, and a fluoride treatment may be applied to reduce any sensitivity. After the process, you’ll notice a significant improvement in the brightness of your teeth. You should be aware that it can cause some temporary sensitivity and gum irritation, which is normal and will subside within a few days.
Post-Whitening Care

After your Zoom Whitening treatment, you’ll receive specific aftercare instructions from your dentist. These will likely include avoiding foods and drinks that can stain your teeth, such as coffee, tea, red wine, and dark-colored sauces, for at least 48 hours. It’s also recommended to avoid smoking during this period. You should maintain a diligent oral hygiene routine, brushing gently with a soft-bristled toothbrush and using fluoride toothpaste. Your dentist might recommend using a desensitizing toothpaste if you experience any sensitivity. Regular follow-up appointments can help maintain your results and address any concerns you might have. Proper aftercare is essential for maximizing the longevity of your whitening results and minimizing the risk of any complications. Remember that the result is not permanent, so you must maintain a proper routine.
Groupon and Zoom Whitening Deals
Finding Groupon Deals
Groupon is a popular platform for finding deals on various services, including Zoom Whitening. To find deals, visit the Groupon website or app and search for “Zoom Whitening” or “teeth whitening” in your local area. Filter your search by location to ensure you’re finding deals near you. You can also set up alerts to be notified when new deals become available. Groupon often features limited-time offers, so it’s important to check regularly. Pay close attention to the expiration dates and the terms and conditions of each deal. You may want to look at other websites as well. Keep in mind that the availability of deals can vary depending on your location and the time of year. Make sure to check for any additional offers that can give you a more favorable offer.
Evaluating Groupon Offers

When evaluating Groupon offers for Zoom Whitening, compare the prices to the standard cost of the procedure in your area. Consider what the deal includes, such as the number of whitening sessions, any additional treatments, or consultations. Read the fine print carefully to understand any limitations, such as the types of stains that can be treated or any additional fees. Check the reviews and ratings of the dental practice to assess their reputation and quality of service. Ensure the practice is reputable and uses high-quality materials. Make sure to read all the information provided to know what to expect when you make the purchase. Also, you should always consult with your dentist before purchasing a deal to ensure that it’s a suitable option for your dental needs. The dentist may offer you a more suitable plan.
What to Look for in a Groupon Deal
A good Groupon deal for Zoom Whitening should offer a significant discount compared to the regular price, but it should also include a comprehensive service. The deal should clearly state what is included, such as a consultation, the Zoom Whitening procedure itself, and potentially post-whitening care instructions. The dental practice should have positive reviews and a good reputation for providing quality care. Ensure that the dentist is licensed and experienced in performing Zoom Whitening. Look for deals that clearly state any exclusions, such as the treatment of certain types of stains or the need for additional procedures. Consider the expiration date and how soon you need to schedule your appointment. Also, make sure the deal does not have hidden fees. A good deal is transparent and offers excellent value for money. It’s also very important to read the customer reviews to know what people are saying about their experience.
Top 5 Facts About Groupon Zoom Whitening Deals
Fact 1 The Cost Savings

One of the most appealing aspects of Groupon Zoom Whitening deals is the potential for significant cost savings. These deals often offer discounts of 50% or more compared to the standard retail price of the procedure. This can make professional teeth whitening more accessible and affordable for many people. However, it’s important to compare the discounted price to the average cost in your area to ensure it’s truly a good deal. Be mindful of any additional costs that may not be included in the initial price, such as the cost of a dental examination or any required pre-whitening treatments. While the savings can be substantial, always evaluate the overall value and consider the reputation of the dental practice. Make sure to check the local prices to make sure that you’re getting a real deal and not an inflated price.
Fact 2 Potential Risks and Side Effects
While Zoom Whitening is generally safe, it does have potential risks and side effects, and Groupon deals don’t change these. The most common side effect is temporary tooth sensitivity, which usually subsides within a few days. Other potential side effects include gum irritation and soreness. Before purchasing a Groupon deal, ensure the dental practice you are choosing is reputable and has a qualified dentist who can address any side effects. It is important to discuss any concerns or allergies you have with the dentist during your consultation. Consider the materials used and the clinic’s hygiene standards. Make sure you’re comfortable with the practice’s approach to addressing potential issues. Be sure you are prepared for these side effects to have a smooth experience. If you are not comfortable with potential side effects, it might be the case that you don’t get the procedure.
Fact 3 The Importance of Dentist Credentials
When considering a Groupon deal for Zoom Whitening, verify the credentials of the dentist performing the procedure. Ensure that the dentist is licensed and experienced in cosmetic dentistry and teeth whitening. Look for reviews and testimonials that highlight the dentist’s expertise and the quality of their work. Check if the practice follows proper safety protocols and uses high-quality materials. It is crucial that you feel comfortable with the dentist’s qualifications and approach to patient care. You want to ensure the best possible results and minimize the risk of complications. The dentist’s skill and experience directly impact the effectiveness of the whitening and your overall satisfaction with the results. You should visit the website or social media platforms of the clinic to find relevant information.
Fact 4 Deal Exclusions

Groupon deals often come with exclusions, and it’s important to understand these before purchasing. Pay close attention to the fine print to know what’s included and what isn’t. Some deals may not cover certain types of stains or may not be suitable for individuals with specific dental conditions. Check for any additional fees that may not be included in the initial price, such as the cost of an initial consultation or any required pre-whitening treatments. Some deals may have limitations on the number of sessions or the intensity of the whitening treatment. Ensure the deal meets your specific needs and expectations. If you have any doubts about the exclusions, contact the dental practice directly to clarify the details. Always read the fine print to avoid surprises and ensure the deal aligns with your requirements. You should consider all the details before proceeding with the purchase.
Fact 5 Read Customer Reviews
Before purchasing a Groupon deal for Zoom Whitening, read customer reviews. Reviews can provide valuable insights into the experiences of other patients at the dental practice. Look for reviews that mention the quality of the whitening results, the professionalism of the staff, and the overall patient experience. Pay attention to any recurring complaints or negative feedback. Check multiple review platforms, such as Google Reviews, Yelp, and Facebook, to gather a comprehensive understanding. Reviews can highlight potential issues or areas of excellence. Consider the number of reviews and the average rating. Customer feedback can help you assess the reliability and trustworthiness of the dental practice. Reading reviews is an essential step in making an informed decision. You can also ask your friends and family.
Making the Most of Your Zoom Whitening Groupon
Scheduling Your Appointment

Once you’ve purchased a Groupon deal, schedule your Zoom Whitening appointment promptly. Contact the dental practice as soon as possible to find a convenient time that fits your schedule. Be prepared to provide your Groupon voucher number when booking your appointment. Double-check the practice’s hours and availability to ensure you can find a suitable slot. During the scheduling process, ask any questions you may have about the procedure or preparation. Some practices may require you to schedule a consultation before your whitening appointment. Avoid waiting until the last minute, as popular deals may have limited availability. Scheduling your appointment promptly ensures you can take advantage of your Groupon deal and achieve a brighter smile. Also, make sure the offer is valid before purchasing the Groupon deal.
Preparing for Your Appointment
Proper preparation is essential for a successful Zoom Whitening experience. Before your appointment, brush and floss your teeth thoroughly. Avoid any foods or drinks that can stain your teeth, such as coffee, tea, and red wine, in the days leading up to your treatment. If the deal includes a consultation, attend it to discuss your expectations and any concerns you have. You may be asked to avoid using whitening toothpaste or products for a few weeks before the procedure. Follow any pre-treatment instructions provided by the dental practice. Make sure to arrive on time for your appointment and bring any necessary documentation, such as your Groupon voucher and any medical history forms. Preparing your teeth and gums will make the process smoother and increase your chances of achieving the best possible results. It also helps to manage your expectations.
Aftercare and Maintenance
After your Zoom Whitening treatment, proper aftercare is crucial for maintaining your results. Avoid consuming any staining foods and drinks, like coffee, tea, and red wine, for at least 48 hours. Brush gently with a soft-bristled toothbrush and use fluoride toothpaste. Your dentist might recommend a desensitizing toothpaste to help with any sensitivity. Consider using a whitening toothpaste or mouthwash to help maintain brightness, but consult your dentist first. Avoid smoking and limit your intake of acidic foods. Regular dental check-ups and cleanings can help maintain your results and address any issues. Your dentist may also recommend touch-up treatments to keep your teeth looking their best. Following these aftercare tips will ensure you enjoy your brighter smile for longer. Your oral health is very important, take care of it.
Alternatives to Groupon for Teeth Whitening
While Groupon can offer attractive deals on Zoom Whitening, there are alternatives you can consider. Research and compare the prices and services of different dental practices in your area. Some practices may offer special promotions or discounts outside of Groupon. You can also inquire about payment plans or financing options to make the procedure more affordable. Explore other teeth whitening methods, such as at-home whitening kits or professional whitening treatments that may be offered by different practices. Consider your budget, desired results, and convenience when choosing the best option for you. Alternatives provide different levels of comfort, savings, and efficiency. Evaluating multiple options can help you make a well-informed decision. You can get in touch with multiple dentists.
