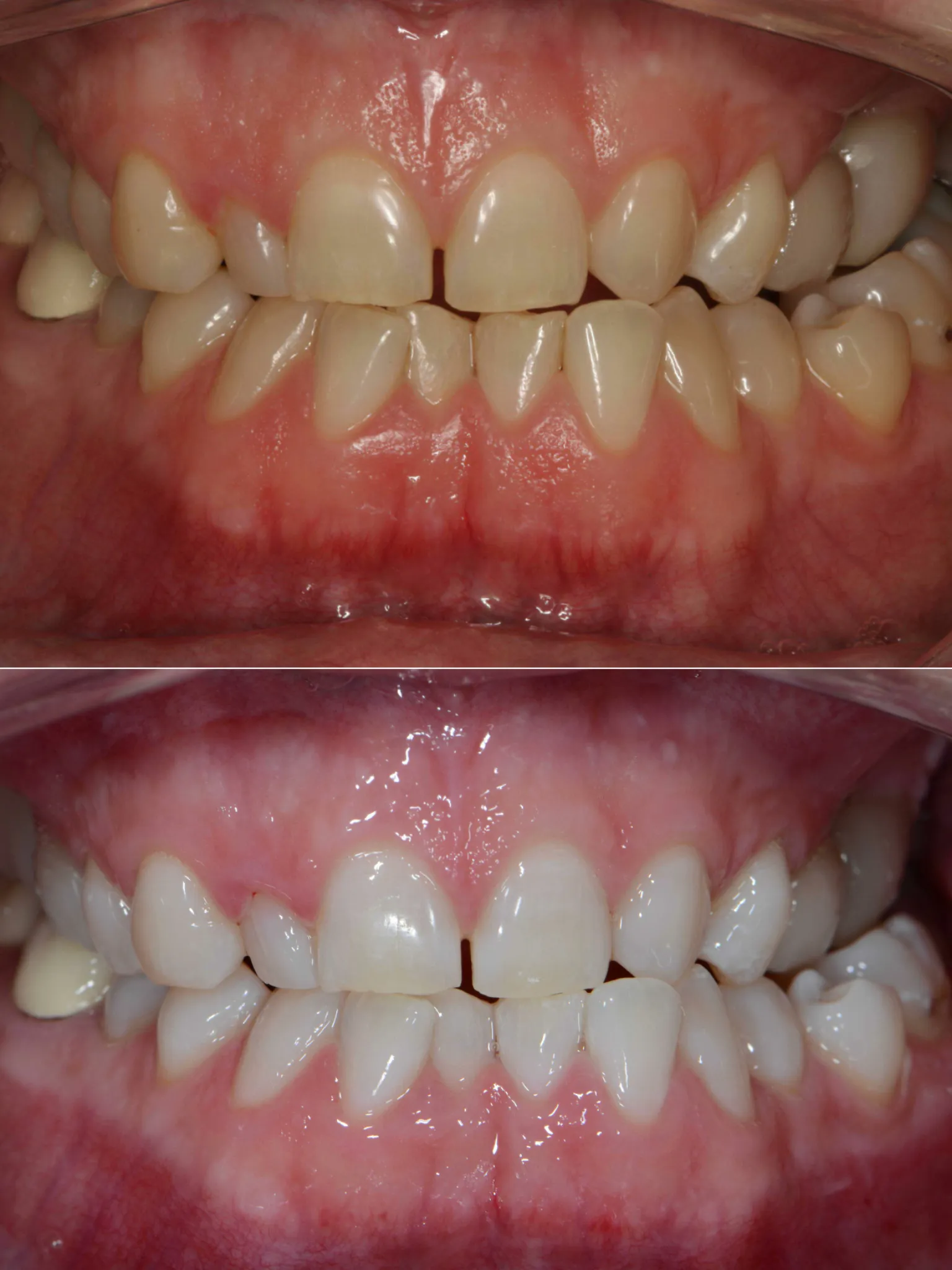
Understanding Zoom Whitening and Aftercare
Zoom whitening is a popular and effective cosmetic dental procedure designed to brighten your smile significantly. This in-office treatment uses a powerful whitening gel, activated by a special light, to break down stains and discoloration on your teeth. While the process itself is relatively quick and painless, the aftercare is crucial for maintaining those dazzling results. This includes adhering to a strict diet to prevent new stains from forming. Following these guidelines ensures that you get the most out of your investment in a brighter, whiter smile and prolongs the effects of the treatment. Proper care not only protects your teeth but also boosts your confidence by maintaining a beautiful and healthy smile.
The Science Behind Zoom Whitening and Staining
The effectiveness of Zoom whitening stems from its ability to penetrate the enamel and break down stain molecules. However, after the procedure, your teeth are more susceptible to staining for a short period. The enamel, though porous, is temporarily more vulnerable, and the whitening agents have opened the pores, making them prone to absorbing pigments from food and drinks. This increased sensitivity is why dietary restrictions are so important. The goal is to avoid any substances that could re-stain your teeth during this critical phase, allowing the whitening process to fully set and your enamel to re-mineralize. Understanding this vulnerability will help you make informed choices about what you eat and drink.
Why Diet Matters After Zoom Whitening

Your diet plays a vital role in the success of your Zoom whitening treatment. The foods and drinks you consume in the days and weeks following the procedure can either help maintain your bright smile or, conversely, undo the results. Staining occurs when pigments from food and beverages latch onto the porous surface of your enamel. By avoiding specific items known for their staining properties, you can significantly extend the life of your whitening treatment. The period immediately after the procedure is especially crucial, as your teeth are highly receptive to staining. Following a ‘white diet’ or a diet focused on avoiding staining agents is essential for maximizing the benefits of Zoom whitening and enjoying a long-lasting, brilliant smile.
Top 5 Foods to Avoid After Zoom Whitening
Coffee and Tea
Coffee and tea are notorious for staining teeth due to their high concentration of tannins, which are compounds that bind to the enamel and cause discoloration. Both beverages can quickly diminish the results of your Zoom whitening treatment, leaving your teeth looking stained and dull. Even light-colored teas can pose a risk. It’s best to avoid these drinks for at least the first few days, if not longer, to protect your investment and maintain the brightness of your newly whitened teeth. The intense pigmentation in coffee and tea is absorbed easily by the porous enamel after whitening.
Why Coffee and Tea Are Problematic

The dark color of coffee and tea comes from pigments that readily adhere to your teeth’s surface. These pigments, called chromogens, seep into the enamel’s tiny pores, causing stains. Furthermore, the acidity in these drinks can erode enamel over time, making it more susceptible to staining. Even the steam from hot tea can create discoloration. Because of their high staining potential and ability to erode enamel, avoiding coffee and tea is crucial in the initial days after a Zoom whitening treatment. These beverages can completely reverse the whitening, leading to disappointment.
Alternatives to Coffee and Tea
If you’re a coffee or tea lover, you don’t have to suffer entirely. Consider switching to clear beverages. Herbal teas with no staining properties or clear soda are good alternatives. You can also opt for beverages like white coffee, which has a lower tannin content than regular coffee. Another strategy is to drink through a straw to minimize contact with your teeth. Drinking plenty of water helps to keep your mouth clean and hydrated, reducing the risk of staining from any residual pigments.
Red Wine
Red wine is another significant culprit when it comes to staining teeth. Its deep color and high tannin content make it a double threat, leading to rapid discoloration. Even a small amount of red wine can leave a noticeable stain on freshly whitened teeth. It is best to avoid red wine completely for at least a week or two after your Zoom whitening session to give your teeth the best chance of maintaining their new brightness. The strong pigments in red wine quickly penetrate the enamel, undermining the whitening process.
Why Red Wine Stains Teeth

Red wine contains both chromogens and tannins, making it highly effective at staining teeth. The tannins act like a magnet, pulling the color from the wine and clinging to the enamel. The acidity in wine also softens the enamel, making it more vulnerable to staining. The longer the wine stays in contact with the teeth, the more likely it is to cause staining. Because of its potent staining properties, red wine is a major enemy of post-whitening teeth.
Alternatives to Red Wine
If you’re looking for an alternative to red wine, consider white wine, which has a lower staining potential because of the lack of tannins. However, white wine still contains acidity, so moderation is key. Alternatively, clear spirits, such as vodka or gin, mixed with clear mixers, can be a better choice. Always drink in moderation and rinse your mouth with water after any alcoholic beverage to reduce the risk of staining. Another option is to enjoy a non-alcoholic beverage, which will eliminate the risk entirely.
Dark-Colored Sodas and Juices
Dark-colored sodas and juices are loaded with pigments and acids, making them a significant threat to your newly whitened teeth. The intense colors of these beverages, coupled with their high sugar content, can lead to staining and erosion of enamel. Even the seemingly harmless option of fruit juice can compromise your results, especially those with dark colors. The frequent consumption of these drinks can quickly reverse the whitening process and contribute to other oral health issues. Always check the label of any drink for its color and acidity levels to minimize the risk.
The Impact of Acidity and Colorants

The high acidity found in many sodas and juices erodes the enamel, making your teeth more susceptible to staining. The colorants used to give these drinks their appealing appearance also contribute to the staining process. These colorants easily adhere to the porous enamel, leaving behind unsightly discoloration. The combination of acidity and colorants creates a double threat, making dark-colored sodas and juices a significant risk to your bright smile. The damage to enamel is often permanent.
Healthier Drink Options
Choose healthier alternatives to protect your teeth after whitening. Water should be your primary beverage of choice, as it helps rinse away food particles and keeps your mouth hydrated. Milk is another good option because of its calcium content and neutral color. If you want something with a bit of flavor, consider clear, unsweetened beverages like sparkling water with a slice of lemon or lime. These options will not stain your teeth and contribute to better overall oral health.
Highly Pigmented Foods
Highly pigmented foods, such as berries, beets, and soy sauce, can quickly stain teeth. Their intense colors come from natural pigments that readily adhere to enamel, leading to discoloration. These foods should be avoided, or at least consumed in moderation, during the critical period after your Zoom whitening treatment to protect your investment in a brighter smile. The amount of pigment in these foods can be deceptive.
Examples of High-Pigment Foods

Foods like blueberries, blackberries, and raspberries have high pigment levels that can cause staining. Beets, which have a deep red color, are also known to stain teeth. Soy sauce, with its dark color and strong flavor, is another culprit. Tomato-based sauces, balsamic vinegar, and curries can also contribute to staining. It’s wise to avoid these foods or consume them with caution, rinsing your mouth with water after consumption to minimize any potential staining. Be mindful of hidden ingredients in your meals.
Smart Food Choices
When choosing foods, opt for those with lighter colors and fewer pigments. White meat, such as chicken or fish, is a good choice, as are clear or lightly colored vegetables. Be mindful of portion sizes and the potential for staining even with seemingly safe foods. Drink plenty of water after meals to help rinse away any food particles. This is especially important for eating highly pigmented meals. Making smart choices will safeguard your whitening results and ensure a beautiful smile.
Foods That Can Help
While certain foods should be avoided, others can actually help protect your teeth and even contribute to their brightness. Some foods can act as natural cleansers or help to remineralize your enamel. Including these foods in your diet can support your oral health and prolong the effects of your Zoom whitening treatment. Adding the correct foods is just as important as removing the staining ones.
Dairy Products

Dairy products like milk, yogurt, and cheese are beneficial for maintaining healthy teeth because they contain calcium, which helps to strengthen and remineralize enamel. They also help to neutralize acids produced by other foods, reducing the risk of erosion. Furthermore, dairy products are generally light in color, meaning they are unlikely to stain your teeth. Including these products in your diet supports both the appearance and health of your teeth, making them a great addition after Zoom whitening.
White and Light-Colored Vegetables
Vegetables such as cauliflower, celery, and white onions are safe choices. These foods are low in pigments and can help keep your teeth clean by increasing saliva production. Saliva acts as a natural cleanser, washing away food particles and protecting your enamel from staining. The act of chewing these vegetables can also scrub your teeth gently. The increased saliva flow is an important factor for long-term oral health. These choices are excellent for maintaining your teeth.
The Importance of a Post-Whitening Diet
Adhering to a post-whitening diet is critical for maximizing and maintaining the results of your Zoom whitening treatment. The foods and drinks you consume can either enhance the brilliance of your smile or undo the effects of the procedure. Understanding the staining potential of different items and making smart choices will help you enjoy a brighter, more confident smile for longer. Consistency in your diet and aftercare will prove to be a wise investment.
Dietary Recommendations for Optimal Results

Focus on a diet rich in white and light-colored foods and beverages. This includes water, milk, white meat, and certain vegetables. Avoid all the staining foods and drinks. Drink plenty of water throughout the day to stay hydrated and help rinse away any food particles. Consider using a straw for beverages to minimize direct contact with your teeth. Consult with your dentist for any specific dietary recommendations based on your individual needs. Remember to brush your teeth gently after meals and consider using a whitening toothpaste to maintain the brightness of your teeth.
Maintenance and Long-Term Care
The post-whitening diet is not just for the immediate aftermath of the procedure; it sets the stage for long-term oral health and helps to preserve the results. Regular dental checkups and cleanings are essential for maintaining a bright smile and preventing future staining. Consider using a whitening toothpaste to help remove surface stains. Continued avoidance of staining foods and drinks and a commitment to good oral hygiene are vital for keeping your teeth bright and healthy. Consistent care helps you enjoy a radiant smile for many years to come.
