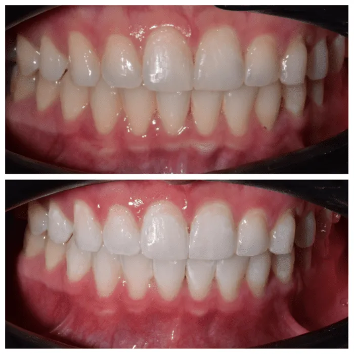
What is Zoom Whitening
Zoom whitening is a popular and effective in-office teeth whitening procedure. It is a cosmetic dental treatment designed to lighten the color of your teeth and remove stains and discoloration. The process involves the application of a professional-strength whitening gel to the teeth, which is then activated by a special blue light. This light helps to accelerate the bleaching process, resulting in a brighter and whiter smile in a relatively short amount of time. This procedure is usually performed by a trained dental professional, ensuring safe and effective results. The treatment is sought after by individuals looking to enhance their smile and boost their confidence.
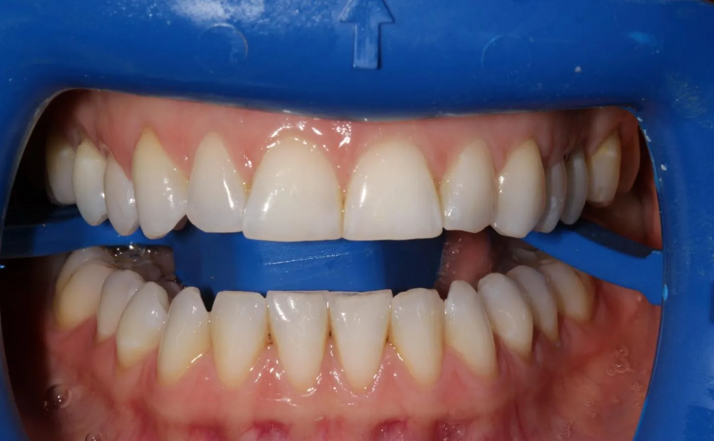
The Zoom Whitening Procedure
The Zoom whitening procedure typically begins with a preparation phase where the dentist or dental hygienist cleans the teeth to remove any plaque or debris. This ensures that the whitening gel can effectively penetrate the enamel. A protective barrier is then applied to the gums and lips to protect them from the bleaching agent. The whitening gel, which contains a high concentration of hydrogen peroxide, is then applied to the surface of the teeth. The Zoom light, a specialized LED light, is positioned over the teeth to activate the gel. The light exposure usually lasts for several cycles, each lasting around 15 minutes. After each cycle, the gel is removed and reapplied. The entire process can take about an hour to an hour and a half, with visible results appearing immediately after the procedure is completed.
How Zoom Whitening Works

Zoom whitening works by utilizing a hydrogen peroxide-based bleaching gel. When the gel is applied to the teeth, the hydrogen peroxide breaks down into oxygen molecules. These oxygen molecules penetrate the enamel and dentin, the porous layers of the teeth. The oxygen molecules then react with the stain molecules, breaking them down and removing discoloration. The Zoom light plays a crucial role in this process; it emits a specific wavelength of light that accelerates the chemical reaction, thereby enhancing the whitening effect. This combination of a high-concentration bleaching agent and the activation light allows for a more rapid and effective whitening process compared to at-home treatments. The result is a brighter, whiter smile in a short amount of time.
Is Zoom Whitening Safe? A Comprehensive Look
Zoom whitening, when performed by a qualified dental professional, is generally considered safe. The safety of the procedure relies heavily on the expertise of the dentist, who will assess your oral health and ensure that the treatment is appropriate for your specific needs. Before the procedure, a thorough examination helps to identify any pre-existing conditions, such as cavities or gum disease, which should be addressed before whitening. The use of protective measures, such as gum shields and lip retractors, minimizes any potential irritation of soft tissues. The formulation of the whitening gel is carefully designed to minimize enamel damage, and the procedure is conducted under controlled conditions to ensure that it is both safe and effective. Regular follow-up appointments also help to monitor the teeth and gums for any adverse reactions. The safety is also dependent on patient compliance.
Understanding the Safety of Zoom Whitening
The safety of Zoom whitening is closely tied to several factors, including the concentration of the bleaching agent, the duration of the treatment, and the skill of the dental professional. The hydrogen peroxide concentration in Zoom whitening gel is significantly higher than that found in over-the-counter products, which means that a professional’s expertise and precision are essential. The dentist’s knowledge of tooth structure and potential sensitivities helps to prevent harm. The use of a protective barrier for the gums and soft tissues ensures that they are not exposed to the bleaching agent. The duration of the light exposure is also carefully controlled to avoid any potential damage. The procedure is typically conducted in a clinical setting where the dentist can quickly address any adverse reactions. Patient compliance with pre- and post-treatment instructions is also essential to ensuring safety.
Potential Side Effects of Zoom Whitening

While Zoom whitening is generally safe, there are some potential side effects that patients should be aware of. The most common side effect is temporary tooth sensitivity, which can range from mild to moderate discomfort. This sensitivity is usually caused by the bleaching agent penetrating the enamel and can last for a few days after the procedure. Gum irritation or inflammation can also occur if the bleaching agent comes into contact with the gums. This can cause redness and swelling, which usually resolves quickly. In rare cases, patients may experience minor enamel changes or irritation of the throat or mouth. It’s important to discuss any concerns or unusual symptoms with your dentist immediately after the procedure. Your dentist will provide you with products to combat the sensitivity like toothpaste.
How to Minimize Risks of Zoom Whitening
There are several steps that can be taken to minimize the risks associated with Zoom whitening. Choosing a qualified and experienced dental professional is the first and most crucial step. The dentist should conduct a thorough oral examination to assess your overall oral health and identify any potential issues. Inform the dentist about any pre-existing conditions, such as sensitive teeth, gum disease, or dental restorations. Following pre-treatment instructions, such as using a desensitizing toothpaste, can help to reduce tooth sensitivity. Adhering to post-treatment instructions, such as avoiding staining foods and drinks, is essential. Regular dental check-ups are also important to monitor the long-term effects of the whitening procedure. Avoiding the procedure altogether if you have severe dental issues will also prevent further issues. Communicate all concerns with your dentist.
Pre-Whitening Consultation and Evaluation
A pre-whitening consultation and evaluation is a crucial step in the Zoom whitening process. This assessment allows the dentist to evaluate your oral health and determine if you are a suitable candidate for the procedure. The dentist will examine your teeth for any signs of cavities, gum disease, or other issues that need to be addressed before whitening. They will also discuss your expectations and goals for the procedure and explain what you can expect. The dentist will also determine the shade of your teeth and assess the level of existing stains. They will ask about any history of tooth sensitivity or allergies. During the consultation, the dentist will provide detailed instructions on how to prepare for the whitening, including whether to use a desensitizing toothpaste. This consultation ensures that the procedure is safe, effective, and tailored to your specific needs.
Post-Whitening Care and Maintenance

Proper post-whitening care is essential for maintaining your bright, white smile and ensuring that the results last as long as possible. After the Zoom whitening procedure, it’s crucial to avoid foods and beverages that can stain your teeth. This includes coffee, tea, red wine, dark-colored sodas, and highly pigmented foods like berries and curries. Smoking and the use of tobacco products should also be avoided. Use a desensitizing toothpaste to minimize any tooth sensitivity and follow the dentist’s instructions regarding brushing and flossing. Regular dental check-ups and professional cleanings are also important for maintaining your oral health and the longevity of your whitening results. Consider using at-home touch-up treatments, as recommended by your dentist, to maintain the brightness of your smile. Good oral hygiene habits are key.
Alternatives to Zoom Whitening
There are several alternatives to Zoom whitening, each with its own set of benefits and drawbacks. Over-the-counter whitening products, such as whitening strips, gels, and toothpastes, are readily available and offer a more affordable option. However, these products typically contain lower concentrations of bleaching agents and may not provide the same dramatic results as professional treatments. Custom-fitted whitening trays, prescribed by a dentist, can provide more effective whitening than over-the-counter options. These trays are designed to fit your teeth perfectly, ensuring even coverage of the whitening gel. Other professional treatments, such as laser whitening or power bleaching, may be available, but they vary in cost and effectiveness. The best option for you will depend on your specific needs, preferences, and budget. Your dentist can advise you on the most suitable alternative based on your oral health.
Professional vs At-Home Whitening Options
When choosing between professional and at-home whitening options, it’s essential to consider the pros and cons of each. Professional whitening, such as Zoom whitening, offers several advantages, including faster results, higher concentrations of bleaching agents, and the supervision of a dental professional. This ensures safety and allows for immediate correction of any potential issues. The results are often more dramatic and longer-lasting. At-home whitening options, such as over-the-counter products, are more affordable and convenient. However, they may take longer to produce results and might not be as effective for deep stains. The lower concentration of bleaching agents means there’s less risk of sensitivity, but also potentially less effective whitening. Custom-fitted trays, prescribed by a dentist, offer a middle ground, combining professional guidance with the convenience of at-home treatment. Choosing the right option depends on your needs, budget, and the level of whitening desired.
Achieving a Bright Smile Safely

Achieving a bright smile safely involves several considerations. Prioritizing your oral health is key. This starts with regular dental check-ups and cleanings. Ensure that any existing dental issues, like cavities or gum disease, are addressed before undergoing any whitening procedure. Choosing a qualified and experienced dental professional is essential. They will assess your oral health, determine if whitening is appropriate for you, and use protective measures during the procedure. Following pre- and post-treatment instructions carefully is also crucial. This includes using desensitizing toothpaste, avoiding staining foods and drinks, and maintaining good oral hygiene. Be realistic about your expectations. Whitening can improve the appearance of your teeth but might not achieve the exact shade you desire. Discuss your goals and potential outcomes with your dentist. Combining professional whitening with good oral hygiene practices can help you achieve a bright, healthy, and safe smile.
Tips for Maintaining a White Smile
Maintaining a white smile after Zoom whitening requires consistent effort and good habits. Avoid or limit the consumption of staining foods and beverages, such as coffee, tea, red wine, and dark-colored sauces. If you do consume these items, rinse your mouth with water immediately afterward. Practice good oral hygiene by brushing your teeth twice a day with a whitening toothpaste and flossing daily. Regular dental check-ups and cleanings are essential to remove any surface stains and maintain your oral health. Consider using at-home touch-up treatments, as recommended by your dentist, to keep your teeth looking bright. Avoid smoking and using tobacco products, as they can stain your teeth and negatively impact your oral health. Protect your teeth from injuries and consider using a mouthguard during sports activities. Regularly following these tips can significantly extend the life and brilliance of your whitened smile.
